电话:
+86 (0512) 65829739
传真:
+86 (010) 6788 5057
电子邮件:
orders@antibodies-online.cn

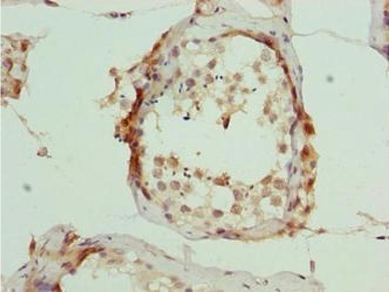
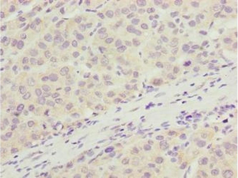
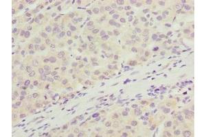
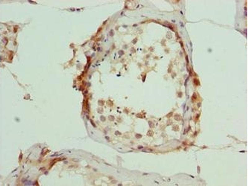
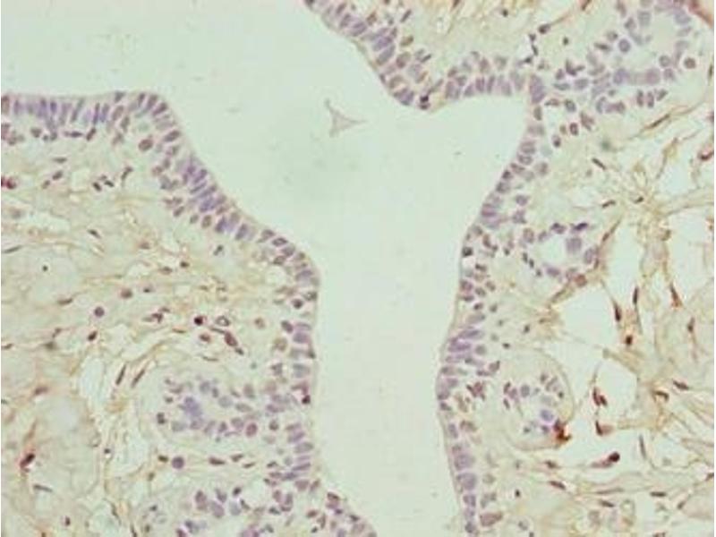
ARMT1 (AA 2-250) 抗体

This 兔 多克隆 antibody specifically detects ARMT1 in ELISA, WB 和 IHC. It exhibits reactivity toward 人.
产品编号 ABIN7166405
发货至: 中国
Contact our Customer Service for availability and price in your country. Contact Info

Our Local Distributor

中国
北京 101111
No. 88 KeChuang 6th Street
Beijing Economic Technological Development Area
Room 801-803
4A Biotech Co.,Ltd.
Tel +86 (0512) 65829739 传真 +86 (010) 6788 5057

Quick Overview for ARMT1 (AA 2-250) 抗体 (ABIN7166405)

抗原

ARMT1

适用

宿主

  • 15

克隆类型

  • 15
多克隆

标记

  • 6
  • 3
  • 2
  • 2
  • 1
  • 1
非结合性

应用范围

  • 11
  • 10
  • 2
  • 1
ELISA, Western Blotting (WB), Immunohistochemistry (IHC)
  • 抗原表位

    • 7
    • 4
    • 1
    • 1
    • 1
    AA 2-250

    原理

    ARMT1 Antibody

    纯化方法

    Protein G purified

    纯度

    >95 %

    免疫原

    Recombinant Human Protein-glutamate O-methyltransferase protein (2-250AA)

    亚型

    IgG
  • 应用备注

    Optimal working dilution should be determined by the investigator.

    限制

    仅限研究用
  • 状态

    Liquid

    缓冲液

    Preservative: 0.03 % Proclin 300
    Constituents: 50 % Glycerol, 0.01M PBS, PH 7.4

    储存液

    ProClin

    注意事项

    This product contains ProClin: a POISONOUS AND HAZARDOUS SUBSTANCE which should be handled by trained staff only.

    储存条件

    -20 °C,-80 °C

    储存方法

    Upon receipt, store at -20°C or -80°C. Avoid repeated freeze.
  • 抗原

    ARMT1

    背景

    Background: O-methyltransferase that methylates glutamate residues of target proteins to form gamma-glutamyl methyl ester residues. Methylates PCNA, suggesting it is involved in the DNA damage response.

    Aliases: ARMT1 antibody, C6orf211Damage-control phosphatase ARMT1 antibody, EC 3.1.3.- antibody, Acidic residue methyltransferase 1 antibody, Protein-glutamate O-methyltransferase antibody, EC 2.1.1.- antibody, Sugar phosphate phosphatase ARMT1 antibody

    UniProt

    Q9H993
You are here: