电话:
+86 (0512) 65829739
传真:
+86 (010) 6788 5057
电子邮件:
orders@antibodies-online.cn

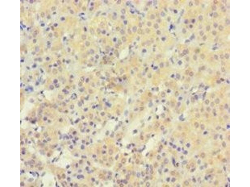
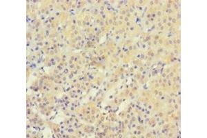
YPEL3 抗体 (AA 1-119)

The 兔 多克隆 anti-YPEL3 antibody is suitable to detect YPEL3 in samples from 人. It has been validated for ELISA 和 IHC.
产品编号 ABIN7166358
发货至: 中国
Contact our Customer Service for availability and price in your country. Contact Info

Our Local Distributor

中国
北京 101111
No. 88 KeChuang 6th Street
Beijing Economic Technological Development Area
Room 801-803
4A Biotech Co.,Ltd.
Tel +86 (0512) 65829739 传真 +86 (010) 6788 5057

Quick Overview for YPEL3 抗体 (AA 1-119) (ABIN7166358)

抗原

See all YPEL3 抗体
YPEL3 (Yippee-Like 3 (YPEL3))

适用

  • 16
  • 11
  • 4

宿主

  • 18

克隆类型

  • 18
多克隆

标记

  • 7
  • 2
  • 2
  • 1
  • 1
  • 1
  • 1
  • 1
  • 1
  • 1
This YPEL3 antibody is un-conjugated

应用范围

  • 7
  • 4
  • 2
  • 2
  • 1
  • 1
  • 1
ELISA, Immunohistochemistry (IHC)
  • 抗原表位

    • 5
    • 4
    • 2
    • 1
    AA 1-119

    原理

    YPEL3 Antibody

    纯化方法

    Protein G purified

    纯度

    >95 %

    免疫原

    Recombinant Human Protein yippee-like 3 protein (1-119AA)

    亚型

    IgG
  • 应用备注

    Optimal working dilution should be determined by the investigator.

    限制

    仅限研究用
  • 状态

    Liquid

    缓冲液

    Preservative: 0.03 % Proclin 300
    Constituents: 50 % Glycerol, 0.01M PBS, PH 7.4

    储存液

    ProClin

    注意事项

    This product contains ProClin: a POISONOUS AND HAZARDOUS SUBSTANCE which should be handled by trained staff only.

    储存条件

    -20 °C,-80 °C

    储存方法

    Upon receipt, store at -20°C or -80°C. Avoid repeated freeze.
  • 抗原

    YPEL3 (Yippee-Like 3 (YPEL3))

    别名

    YPEL3

    背景

    Background: Involved in proliferation and apoptosis in myeloid precursor cells.

    Aliases: Protein yippee-like 3 antibody, Small ubiquitinated apoptotic protein antibody, Yippee like 3 antibody, Yippee-like 3 (Drosophila) antibody, Ypel3 antibody, YPEL3_HUMAN antibody

    UniProt

    P61236
You are here: