电话:
+86 (0512) 65829739
传真:
+86 (010) 6788 5057
电子邮件:
orders@antibodies-online.cn

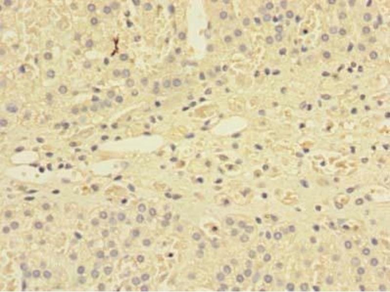
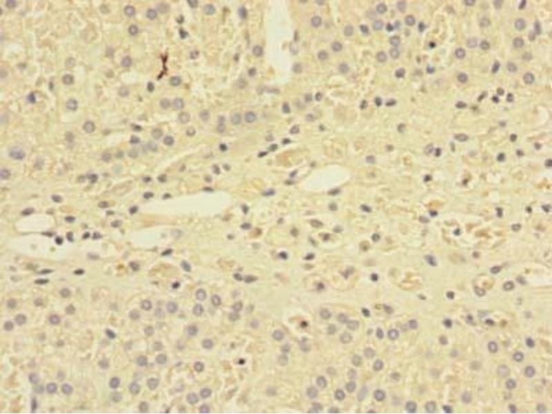
SHISA5 抗体 (AA 56-137)

The 兔 多克隆 anti-SHISA5 antibody is suitable to detect SHISA5 in samples from 人. It has been validated for ELISA, IHC, IF 和 IP.
产品编号 ABIN7166112
发货至: 中国
Contact our Customer Service for availability and price in your country. Contact Info

Our Local Distributor

中国
北京 101111
No. 88 KeChuang 6th Street
Beijing Economic Technological Development Area
Room 801-803
4A Biotech Co.,Ltd.
Tel +86 (0512) 65829739 传真 +86 (010) 6788 5057

Quick Overview for SHISA5 抗体 (AA 56-137) (ABIN7166112)

抗原

See all SHISA5 抗体
SHISA5 (Shisa Homolog 5 (SHISA5))

适用

宿主

  • 13
  • 3

克隆类型

  • 14
  • 2
多克隆

标记

  • 7
  • 3
  • 2
  • 2
  • 1
  • 1
This SHISA5 antibody is un-conjugated

应用范围

ELISA, Immunohistochemistry (IHC), Immunofluorescence (IF), Immunoprecipitation (IP)
  • 抗原表位

    • 7
    • 4
    • 2
    • 1
    • 1
    • 1
    • 1
    • 1
    AA 56-137

    原理

    SHISA5 Antibody

    纯化方法

    Protein G purified

    纯度

    >95 %

    免疫原

    Recombinant Human Protein shisa-5 protein (56-137AA)

    亚型

    IgG
  • 应用备注

    Optimal working dilution should be determined by the investigator.

    限制

    仅限研究用
  • 状态

    Liquid

    缓冲液

    Preservative: 0.03 % Proclin 300
    Constituents: 50 % Glycerol, 0.01M PBS, PH 7.4

    储存液

    ProClin

    注意事项

    This product contains ProClin: a POISONOUS AND HAZARDOUS SUBSTANCE which should be handled by trained staff only.

    储存条件

    -20 °C,-80 °C

    储存方法

    Upon receipt, store at -20°C or -80°C. Avoid repeated freeze.
  • 抗原

    SHISA5 (Shisa Homolog 5 (SHISA5))

    别名

    SHISA5

    背景

    Background: Can induce apoptosis in a caspase-dependent manner and plays a role in p53/TP53-dependent apoptosis.

    Aliases: SHISA5 antibody, SCOTIN antibody, PSEC0133 antibody, Protein shisa-5 antibody, Putative NF-kappa-B-activating protein 120 antibody, Scotin antibody

    UniProt

    Q8N114
You are here: