电话:
+86 (0512) 65829739
传真:
+86 (010) 6788 5057
电子邮件:
orders@antibodies-online.cn

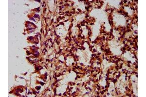
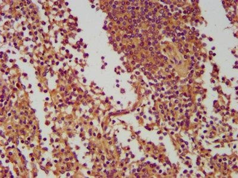
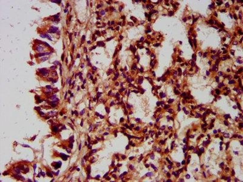
NLRC5 抗体 (AA 95-208)

The 兔 多克隆 anti-NLRC5 antibody (ABIN7165873) specifically detects NLRC5 in ELISA, IHC 和 IF. The antibody is reactive with 人 samples.
产品编号 ABIN7165873
发货至: 中国
Contact our Customer Service for availability and price in your country. Contact Info

Our Local Distributor

中国
北京 101111
No. 88 KeChuang 6th Street
Beijing Economic Technological Development Area
Room 801-803
4A Biotech Co.,Ltd.
Tel +86 (0512) 65829739 传真 +86 (010) 6788 5057

Quick Overview for NLRC5 抗体 (AA 95-208) (ABIN7165873)

抗原

See all NLRC5 抗体
NLRC5 (NLR Family, CARD Domain Containing 5 (NLRC5))

适用

  • 9
  • 5

宿主

  • 11

克隆类型

  • 11
多克隆

标记

  • 7
  • 2
  • 1
  • 1
This NLRC5 antibody is un-conjugated

应用范围

  • 7
  • 6
  • 3
  • 1
  • 1
  • 1
  • 1
ELISA, Immunohistochemistry (IHC), Immunofluorescence (IF)
  • 抗原表位

    • 4
    • 4
    • 1
    • 1
    AA 95-208

    原理

    NLRC5 Antibody

    纯化方法

    Protein G purified

    纯度

    >95 %

    免疫原

    Recombinant Human Protein NLRC5 protein (95-208AA)

    亚型

    IgG
  • 应用备注

    Optimal working dilution should be determined by the investigator.

    限制

    仅限研究用
  • 状态

    Liquid

    缓冲液

    Preservative: 0.03 % Proclin 300
    Constituents: 50 % Glycerol, 0.01M PBS, pH 7.4

    储存液

    ProClin

    注意事项

    This product contains ProClin: a POISONOUS AND HAZARDOUS SUBSTANCE which should be handled by trained staff only.

    储存条件

    -20 °C,-80 °C

    储存方法

    Upon receipt, store at -20°C or -80°C. Avoid repeated freeze.
  • 抗原

    NLRC5 (NLR Family, CARD Domain Containing 5 (NLRC5))

    别名

    NLRC5

    背景

    Background: Probable regulator of the NF-kappa-B and type I interferon signaling pathways. May also regulate the type II interferon signaling pathway. Plays a role in homeostatic control of innate immunity and in antiviral defense mechanisms.

    Aliases: Caterpiller protein 16.1 antibody, CLR16.1 antibody, FLJ21709 antibody, FLJ39711 antibody, NLR family, CARD domain containing 5 antibody, NLR family, CARD-containing 5 antibody, NLR family, caspase recruitment domain-containing 5 antibody, NLRC5 antibody, NLRC5_HUMAN antibody, NOD-like receptor C5 antibody, NOD27 antibody, NOD4 antibody, Nucleotide-binding oligomerization domain protein 27 antibody, Nucleotide-binding oligomerization domain protein 4 antibody, nucleotide-binding oligomerization domain, leucine rich repeat and CARD domain containing 5 antibody, nucleotide-binding oligomerization domains 27 antibody, OTTHUMP00000164675 antibody, Protein Caterpiller 16.1 antibody, Protein NLRC5 antibody

    UniProt

    Q86WI3
You are here: