电话:
+86 (0512) 65829739
传真:
+86 (010) 6788 5057
电子邮件:
orders@antibodies-online.cn

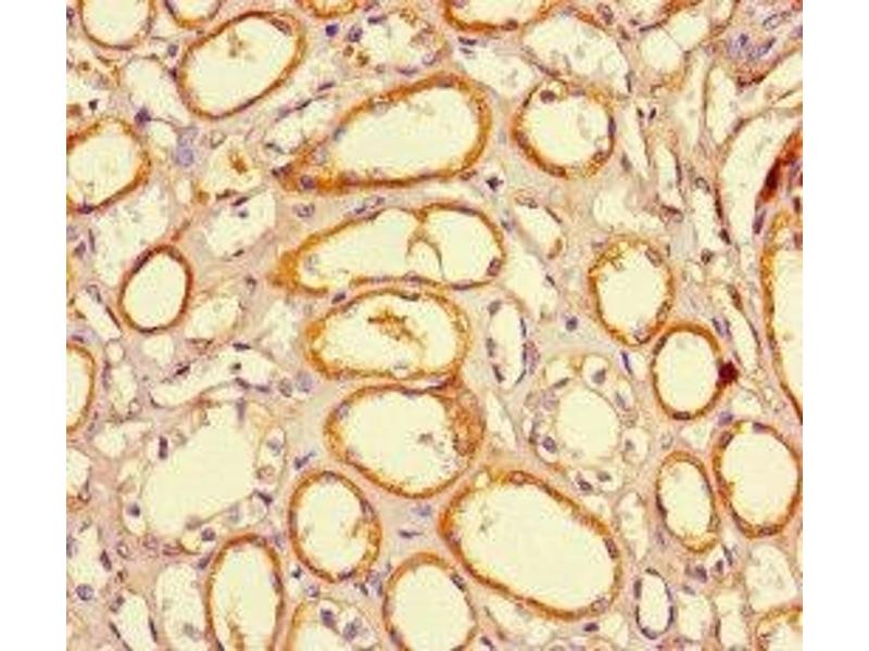
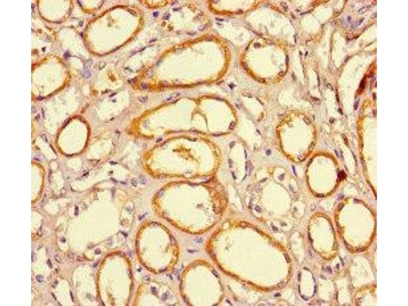
JARID2 抗体 (AA 1-159)

The 兔 多克隆 anti-JARID2 antibody (ABIN7165672) specifically detects JARID2 in ELISA, IF 和 IHC. The antibody is reactive with 人 samples.
产品编号 ABIN7165672
发货至: 中国
Contact our Customer Service for availability and price in your country. Contact Info

Our Local Distributor

中国
北京 101111
No. 88 KeChuang 6th Street
Beijing Economic Technological Development Area
Room 801-803
4A Biotech Co.,Ltd.
Tel +86 (0512) 65829739 传真 +86 (010) 6788 5057

Quick Overview for JARID2 抗体 (AA 1-159) (ABIN7165672)

抗原

See all JARID2 抗体
JARID2 (Jumonji, AT Rich Interactive Domain 2 (JARID2))

适用

  • 52
  • 17
  • 8
  • 3
  • 2
  • 2
  • 2
  • 1
  • 1

宿主

  • 43
  • 9
  • 2
  • 1

克隆类型

  • 33
  • 22
多克隆

标记

  • 21
  • 4
  • 3
  • 2
  • 2
  • 2
  • 2
  • 2
  • 2
  • 2
  • 1
  • 1
  • 1
  • 1
  • 1
  • 1
  • 1
  • 1
  • 1
  • 1
  • 1
  • 1
  • 1
This JARID2 antibody is un-conjugated

应用范围

  • 41
  • 13
  • 13
  • 12
  • 11
  • 10
  • 4
  • 3
  • 2
ELISA, Immunofluorescence (IF), Immunohistochemistry (IHC)
  • 抗原表位

    • 15
    • 6
    • 2
    • 2
    • 1
    • 1
    • 1
    • 1
    • 1
    • 1
    • 1
    • 1
    • 1
    AA 1-159

    原理

    JARID2 Antibody

    纯化方法

    Protein G purified

    纯度

    >95 %

    免疫原

    Recombinant Human Protein Jumonji protein (1-159AA)

    亚型

    IgG
  • 应用备注

    Optimal working dilution should be determined by the investigator.

    限制

    仅限研究用
  • 状态

    Liquid

    缓冲液

    Preservative: 0.03 % Proclin 300
    Constituents: 50 % Glycerol, 0.01M PBS, PH 7.4

    储存液

    ProClin

    注意事项

    This product contains ProClin: a POISONOUS AND HAZARDOUS SUBSTANCE which should be handled by trained staff only.

    储存条件

    -20 °C,-80 °C

    储存方法

    Upon receipt, store at -20°C or -80°C. Avoid repeated freeze.
  • 抗原

    JARID2 (Jumonji, AT Rich Interactive Domain 2 (JARID2))

    别名

    JARID2

    背景

    Background: Regulator of histone methyltransferase complexes that plays an essential role in embryonic development, including heart and liver development, neural tube fusion process and hematopoiesis. Acts by modulating histone methyltransferase activity and promoting the recruitment of histone methyltransferase complexes to their target genes. Binds DNA and mediates the recruitment of the PRC2 complex to target genes in embryonic stem cells. Does not have histone demethylase activity but regulates activity of various histone methyltransferase complexes. In embryonic stem cells, it associates with the PRC2 complex and inhibits trimethylation of \\\'Lys-27\\\' of histone H3 (H3K27me3) by the PRC2 complex, thereby playing a key role in differentiation of embryonic stem cells and normal development. In cardiac cells, it is required to repress expression of cyclin-D1 (CCND1) by activating methylation of \\\'Lys-9\\\' of histone H3 (H3K9me) by the GLP1/EHMT1 and G9a/EHMT2 histone methyltransferases. Also acts as a transcriptional repressor of ANF via its interaction with GATA4 and NKX2-5. Participates in the negative regulation of cell proliferation signaling.

    Aliases: JARD2 antibody, JARD2_HUMAN antibody, JARID2 antibody, JMJ antibody, Jumonji AT rich interactive domain 2 antibody, Jumonji homolog antibody, Jumonji like protein antibody, Jumonji protein antibody, Jumonji/ARID domain containing protein 2 antibody, Jumonji/ARID domain-containing protein 2 antibody, Protein Jumonji antibody

    UniProt

    Q92833

    途径

    Chromatin Binding
You are here: