电话:
+86 (0512) 65829739
传真:
+86 (010) 6788 5057
电子邮件:
orders@antibodies-online.cn

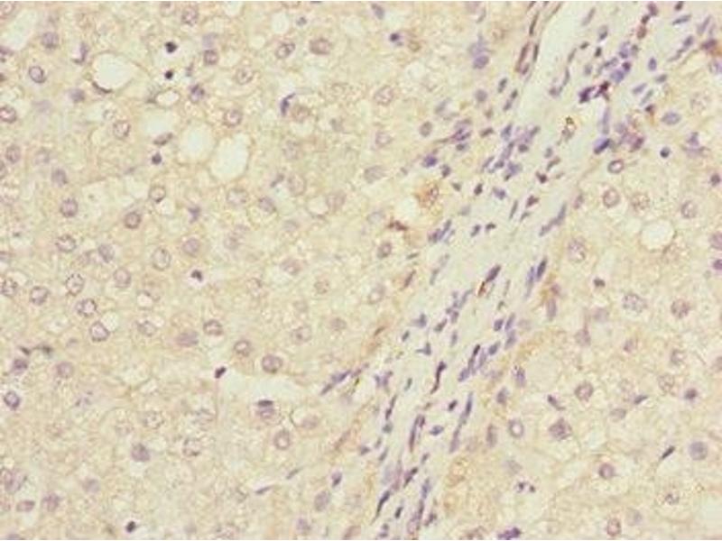
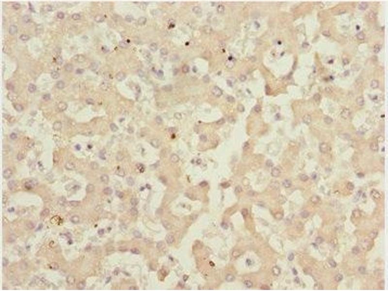
IWS1 抗体 (AA 570-819)

This 兔 多克隆 antibody specifically detects IWS1 in WB, ELISA 和 IHC. It exhibits reactivity toward 人.
产品编号 ABIN7165661
发货至: 中国
Contact our Customer Service for availability and price in your country. Contact Info

Our Local Distributor

中国
北京 101111
No. 88 KeChuang 6th Street
Beijing Economic Technological Development Area
Room 801-803
4A Biotech Co.,Ltd.
Tel +86 (0512) 65829739 传真 +86 (010) 6788 5057

Quick Overview for IWS1 抗体 (AA 570-819) (ABIN7165661)

抗原

IWS1 (IWS1 Homolog (IWS1))

适用

  • 18
  • 14
  • 7
  • 1
  • 1
  • 1
  • 1
  • 1
  • 1
  • 1

宿主

  • 18

克隆类型

  • 17
多克隆

标记

  • 11
  • 1
  • 1
  • 1
  • 1
  • 1
  • 1
  • 1
This IWS1 antibody is un-conjugated

应用范围

  • 11
  • 4
  • 4
  • 3
  • 3
  • 1
Western Blotting (WB), ELISA, Immunohistochemistry (IHC)
  • 抗原表位

    • 3
    • 1
    • 1
    • 1
    • 1
    AA 570-819

    原理

    IWS1 Antibody

    纯化方法

    Antigen Affinity Purified

    免疫原

    Recombinant Human Protein IWS1 homolog protein (570-819AA)

    亚型

    IgG
  • 应用备注

    Optimal working dilution should be determined by the investigator.

    限制

    仅限研究用
  • 状态

    Liquid

    缓冲液

    PBS with 0.02 % sodium azide, 50 % glycerol, pH 7.3.

    储存液

    Sodium azide

    注意事项

    This product contains Sodium azide: a POISONOUS AND HAZARDOUS SUBSTANCE which should be handled by trained staff only.

    储存条件

    -20 °C,-80 °C

    储存方法

    Upon receipt, store at -20°C or -80°C. Avoid repeated freeze.
  • 抗原

    IWS1 (IWS1 Homolog (IWS1))

    别名

    IWS1

    背景

    Background: Transcription factor which plays a key role in defining the composition of the RNA polymerase II (RNAPII) elongation complex and in modulating the production of mature mRNA transcripts. Acts as an assembly factor to recruit various factors to the RNAPII elongation complex and is recruited to the complex via binding to the transcription elongation factor SUPT6H bound to the C-terminal domain (CTD) of the RNAPII subunit RPB1 (POLR2A). The SUPT6H:IWS1:CTD complex recruits mRNA export factors (ALYREF/THOC4, EXOSC10) as well as histone modifying enzymes (such as SETD2) to ensure proper mRNA splicing, efficient mRNA export and elongation-coupled H3K36 methylation, a signature chromatin mark of active transcription.

    Aliases: DKFZp761G0123 antibody, FLJ10006 antibody, FLJ14655 antibody, FLJ32319 antibody, Interacts with Spt6 antibody, iws1 antibody, IWS1 homolog antibody, IWS1-like protein antibody, IWS1_HUMAN antibody, IWS1L antibody, MGC126375 antibody, MGC126376 antibody, OTTHUMP00000162262 antibody, Protein IWS1 homolog antibody

    UniProt

    Q96ST2
You are here: