电话:
+86 (0512) 65829739
传真:
+86 (010) 6788 5057
电子邮件:
orders@antibodies-online.cn

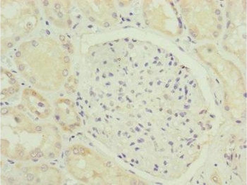
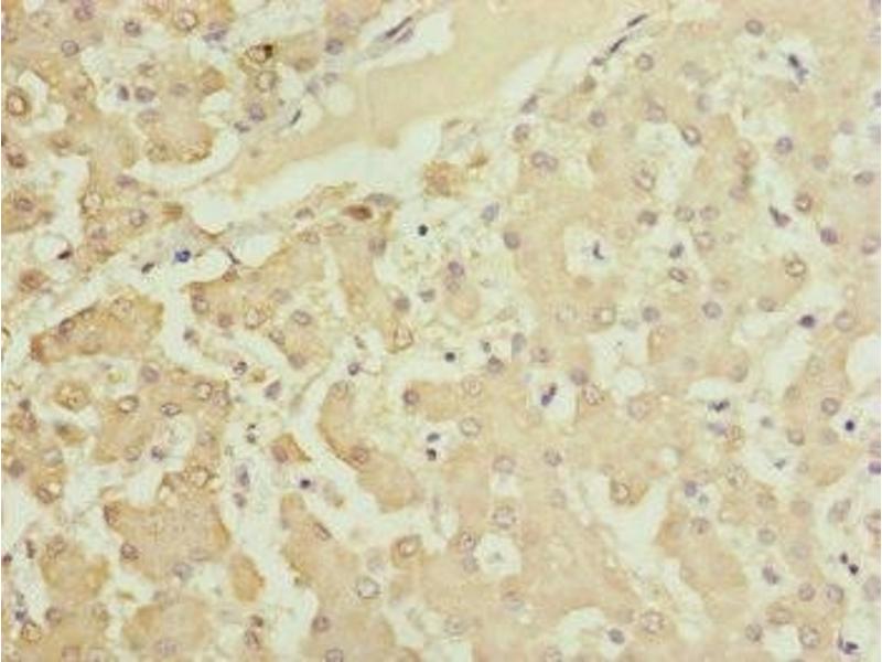
HOOK2 抗体 (AA 440-719)

The 兔 多克隆 anti-HOOK2 antibody (ABIN7165639) specifically detects HOOK2 in WB, IHC 和 ELISA. The antibody is reactive with 人 samples.
产品编号 ABIN7165639
发货至: 中国
Contact our Customer Service for availability and price in your country. Contact Info

Our Local Distributor

中国
北京 101111
No. 88 KeChuang 6th Street
Beijing Economic Technological Development Area
Room 801-803
4A Biotech Co.,Ltd.
Tel +86 (0512) 65829739 传真 +86 (010) 6788 5057

Quick Overview for HOOK2 抗体 (AA 440-719) (ABIN7165639)

抗原

See all HOOK2 抗体
HOOK2 (Hook Homolog 2 (HOOK2))

适用

  • 26
  • 8
  • 5
  • 3
  • 3
  • 3
  • 3
  • 2
  • 1
  • 1
  • 1

宿主

  • 23
  • 3

克隆类型

  • 15
  • 11
多克隆

标记

  • 17
  • 1
  • 1
  • 1
  • 1
  • 1
  • 1
  • 1
  • 1
  • 1
This HOOK2 antibody is un-conjugated

应用范围

  • 24
  • 14
  • 7
  • 2
  • 2
  • 2
  • 1
  • 1
Western Blotting (WB), Immunohistochemistry (IHC), ELISA
  • 抗原表位

    • 2
    • 2
    • 1
    • 1
    • 1
    • 1
    • 1
    • 1
    AA 440-719

    原理

    HOOK2 Antibody

    交叉反应

    小鼠

    纯化方法

    Antigen Affinity Purified

    免疫原

    Recombinant Human Protein Hook homolog 2 protein (440-719AA)

    亚型

    IgG
  • 应用备注

    Optimal working dilution should be determined by the investigator.

    限制

    仅限研究用
  • 状态

    Liquid

    缓冲液

    PBS with 0.02 % sodium azide, 50 % glycerol, pH 7.3.

    储存液

    Sodium azide

    注意事项

    This product contains Sodium azide: a POISONOUS AND HAZARDOUS SUBSTANCE which should be handled by trained staff only.

    储存条件

    -20 °C,-80 °C

    储存方法

    Upon receipt, store at -20°C or -80°C. Avoid repeated freeze.
  • 抗原

    HOOK2 (Hook Homolog 2 (HOOK2))

    别名

    HOOK2

    背景

    Background: Component of the FTS/Hook/FHIP complex (FHF complex). The FHF complex may function to promote vesicle trafficking and/or fusion via the homotypic vesicular protein sorting complex (the HOPS complex). Contributes to the establishment and maintenance of centrosome function. May function in the positioning or formation of aggresomes, which are pericentriolar accumulations of misfolded proteins, proteasomes and chaperones.

    Aliases: HOOK2 antibody, Protein Hook homolog 2 antibody, h-hook2 antibody, hHK2 antibody

    UniProt

    Q96ED9
You are here: