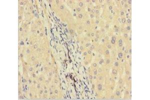
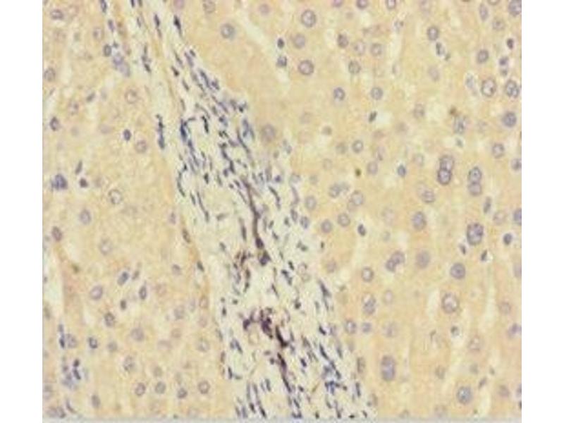
C11orf73 抗体 (AA 1-197)
Our Local Distributor
北京 101111
Quick Overview for C11orf73 抗体 (AA 1-197) (ABIN7165631)
抗原
See all C11orf73 抗体适用
宿主
克隆类型
标记
应用范围
-
-
抗原表位
- AA 1-197
-
原理
- HIKESHI Antibody
-
纯化方法
- Protein G purified
-
纯度
- >95 %
-
免疫原
- Recombinant Human Protein Hikeshi protein (1-197AA)
-
亚型
- IgG
-
-
-
-
应用备注
- Optimal working dilution should be determined by the investigator.
-
限制
- 仅限研究用
-
-
-
状态
- Liquid
-
缓冲液
-
Preservative: 0.03 % Proclin 300
Constituents: 50 % Glycerol, 0.01M PBS, PH 7.4 -
储存液
- ProClin
-
注意事项
- This product contains ProClin: a POISONOUS AND HAZARDOUS SUBSTANCE which should be handled by trained staff only.
-
储存条件
- -20 °C,-80 °C
-
储存方法
- Upon receipt, store at -20°C or -80°C. Avoid repeated freeze.
-
-
- C11orf73 (Chromosome 11 Open Reading Frame 73 (C11orf73))
-
别名
- HIKESHI
-
背景
-
Background: Acts as a specific nuclear import carrier for HSP70 proteins following heat-shock stress: acts by mediating the nucleoporin-dependent translocation of ATP-bound HSP70 proteins into the nucleus. HSP70 proteins import is required to protect cells from heat shock damages. Does not translocate ADP-bound HSP70 proteins into the nucleus.
Aliases: C11orf73 antibody, Chromosome 11 open reading frame 73 antibody, CK073_HUMAN antibody, FLJ43020 antibody, Hikeshi antibody, HSPC138 antibody, HSPC179 antibody, L7RN6 antibody, Lethal Chr 7 Rinchik 6 antibody, OPI10 antibody, Protein Hikeshi antibody, Uncharacterized protein C11orf73 antibody
-
UniProt
- Q53FT3
-
途径
- Protein targeting to Nucleus
抗原
-