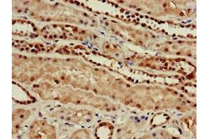
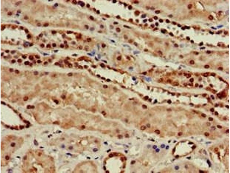
C22orf13 抗体 (AA 1-136)
Our Local Distributor
北京 101111
Quick Overview for C22orf13 抗体 (AA 1-136) (ABIN7165618)
抗原
适用
宿主
克隆类型
标记
应用范围
-
-
抗原表位
- AA 1-136
-
原理
- GUCD1 Antibody
-
交叉反应
- 小鼠
-
纯化方法
- Protein G purified
-
纯度
- >95 %
-
免疫原
- Recombinant Human Protein GUCD1 protein (1-136AA)
-
亚型
- IgG
-
-
-
-
应用备注
- Optimal working dilution should be determined by the investigator.
-
限制
- 仅限研究用
-
-
-
状态
- Liquid
-
缓冲液
-
Preservative: 0.03 % Proclin 300
Constituents: 50 % Glycerol, 0.01M PBS, pH 7.4 -
储存液
- ProClin
-
注意事项
- This product contains ProClin: a POISONOUS AND HAZARDOUS SUBSTANCE which should be handled by trained staff only.
-
储存条件
- -20 °C,-80 °C
-
储存方法
- Upon receipt, store at -20°C or -80°C. Avoid repeated freeze.
-
-
- C22orf13 (GUCD1) (Guanylyl Cyclase Domain Containing 1 (GUCD1))
-
别名
- GUCD1
-
背景
- C22orf13 antibody, CG13760 gene product [Drosophila melanogaster] homolog antibody, Chromosome 22 open reading frame 13 antibody, CV013_HUMAN antibody, Guanylyl cyclase domain containing 1 antibody, Guanylyl cyclase domain containing protein 1 antibody, LLN4 antibody, MGC1842 antibody, OTTHUMP00000198388 antibody, Protein GUCD1 antibody, Protein LLN4 antibody, Uncharacterized protein C22orf13 antibody
-
UniProt
- Q96NT3
抗原
-