电话:
+86 (0512) 65829739
传真:
+86 (010) 6788 5057
电子邮件:
orders@antibodies-online.cn

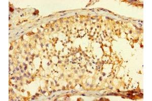
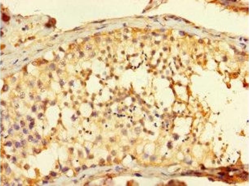
FAM71A 抗体 (AA 381-594)

The 兔 多克隆 anti-FAM71A antibody (ABIN7165534) specifically detects FAM71A in ELISA, IHC 和 IF. The antibody is reactive with 人 samples.
产品编号 ABIN7165534
发货至: 中国
Contact our Customer Service for availability and price in your country. Contact Info

Our Local Distributor

中国
北京 101111
No. 88 KeChuang 6th Street
Beijing Economic Technological Development Area
Room 801-803
4A Biotech Co.,Ltd.
Tel +86 (0512) 65829739 传真 +86 (010) 6788 5057

Quick Overview for FAM71A 抗体 (AA 381-594) (ABIN7165534)

抗原

FAM71A (Family with Sequence Similarity 71, Member A (FAM71A))

适用

  • 10
  • 2
  • 2
  • 2
  • 1
  • 1
  • 1

宿主

  • 10

克隆类型

  • 10
多克隆

标记

  • 6
  • 2
  • 1
  • 1
This FAM71A antibody is un-conjugated

应用范围

ELISA, Immunohistochemistry (IHC), Immunofluorescence (IF)
You are here: