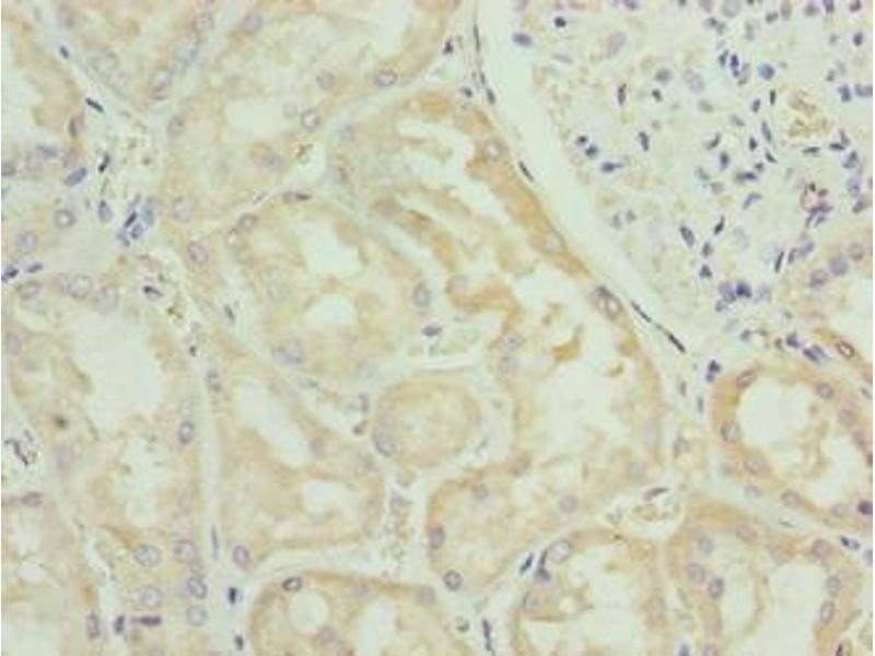
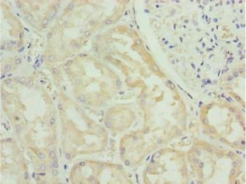
FAM122B 抗体 (AA 2-247)
Our Local Distributor
北京 101111
Quick Overview for FAM122B 抗体 (AA 2-247) (ABIN7165374)
抗原
适用
宿主
克隆类型
标记
应用范围
-
-
抗原表位
- AA 2-247
-
原理
- FAM122B Antibody
-
交叉反应
- 小鼠
-
纯化方法
- Protein G purified
-
纯度
- >95 %
-
免疫原
- Recombinant Human Protein FAM122B protein (2-247AA)
-
亚型
- IgG
-
-
-
-
应用备注
- Optimal working dilution should be determined by the investigator.
-
限制
- 仅限研究用
-
-
-
状态
- Liquid
-
缓冲液
-
Preservative: 0.03 % Proclin 300
Constituents: 50 % Glycerol, 0.01M PBS, PH 7.4 -
储存液
- ProClin
-
注意事项
- This product contains ProClin: a POISONOUS AND HAZARDOUS SUBSTANCE which should be handled by trained staff only.
-
储存条件
- -20 °C,-80 °C
-
储存方法
- Upon receipt, store at -20°C or -80°C. Avoid repeated freeze.
-
-
- FAM122B (Family with Sequence Similarity 122B (FAM122B))
-
别名
- FAM122B
-
背景
- DKFZp686L20116 antibody, F122B_HUMAN antibody, Fam122b antibody, Family with sequence similarity 122B antibody, MGC131814 antibody, OTTHUMP00000024067 antibody, OTTHUMP00000215087 antibody, Protein FAM122B antibody, RP11 308B5.5 antibody, SPACIA2 antibody, Synoviocyte proliferation associated in collagen induced arthritis 2 antibody
-
UniProt
- Q7Z309
抗原
-