电话:
+86 (0512) 65829739
传真:
+86 (010) 6788 5057
电子邮件:
orders@antibodies-online.cn

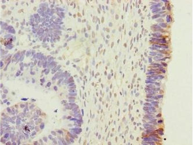
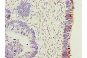
EFR3B 抗体 (AA 1-298)

The 兔 多克隆 anti-EFR3B antibody is suitable to detect EFR3B in samples from 人. It has been validated for ELISA 和 IHC.
产品编号 ABIN7165317
发货至: 中国
Contact our Customer Service for availability and price in your country. Contact Info

Our Local Distributor

中国
北京 101111
No. 88 KeChuang 6th Street
Beijing Economic Technological Development Area
Room 801-803
4A Biotech Co.,Ltd.
Tel +86 (0512) 65829739 传真 +86 (010) 6788 5057

Quick Overview for EFR3B 抗体 (AA 1-298) (ABIN7165317)

抗原

EFR3B (EFR3 Homolog B (EFR3B))

适用

  • 17
  • 17
  • 7
  • 2
  • 2
  • 2
  • 2
  • 2
  • 2

宿主

  • 22

克隆类型

  • 22
多克隆

标记

  • 4
  • 3
  • 2
  • 2
  • 1
  • 1
  • 1
  • 1
  • 1
  • 1
  • 1
  • 1
  • 1
  • 1
  • 1
This EFR3B antibody is un-conjugated

应用范围

  • 13
  • 13
  • 6
  • 3
  • 3
  • 3
  • 1
ELISA, Immunohistochemistry (IHC)
You are here: