电话:
+86 (0512) 65829739
传真:
+86 (010) 6788 5057
电子邮件:
orders@antibodies-online.cn

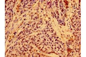
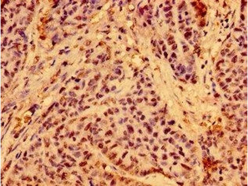
C19ORF12 抗体 (AA 65-104)

This 兔 多克隆 antibody specifically detects C19ORF12 in ELISA, IHC 和 IF. It exhibits reactivity toward 人.
产品编号 ABIN7165166
发货至: 中国
Contact our Customer Service for availability and price in your country. Contact Info

Our Local Distributor

中国
北京 101111
No. 88 KeChuang 6th Street
Beijing Economic Technological Development Area
Room 801-803
4A Biotech Co.,Ltd.
Tel +86 (0512) 65829739 传真 +86 (010) 6788 5057

Quick Overview for C19ORF12 抗体 (AA 65-104) (ABIN7165166)

抗原

See all C19ORF12 抗体
C19ORF12 (Chromosome 19 Open Reading Frame 12 (C19ORF12))

适用

宿主

  • 5

克隆类型

  • 5
多克隆

标记

  • 2
  • 1
  • 1
  • 1
This C19ORF12 antibody is un-conjugated

应用范围

ELISA, Immunohistochemistry (IHC), Immunofluorescence (IF)
  • 抗原表位

    • 4
    • 1
    AA 65-104

    原理

    C19orf12 Antibody

    纯化方法

    Protein G purified

    纯度

    >95 %

    免疫原

    Recombinant Human Protein C19orf12 protein (65-104AA)

    亚型

    IgG
  • 应用备注

    Optimal working dilution should be determined by the investigator.

    限制

    仅限研究用
  • 状态

    Liquid

    缓冲液

    Preservative: 0.03 % Proclin 300
    Constituents: 50 % Glycerol, 0.01M PBS, pH 7.4

    储存液

    ProClin

    注意事项

    This product contains ProClin: a POISONOUS AND HAZARDOUS SUBSTANCE which should be handled by trained staff only.

    储存条件

    -20 °C,-80 °C

    储存方法

    Upon receipt, store at -20°C or -80°C. Avoid repeated freeze.
  • 抗原

    C19ORF12 (Chromosome 19 Open Reading Frame 12 (C19ORF12))

    别名

    C19orf12

    背景

    C19orf12 antibody, Chromosome 19 open reading frame 12 antibody, CS012_HUMAN antibody, Uncharacterized protein C19orf12 antibody

    UniProt

    Q9NSK7
You are here: