电话:
+86 (0512) 65829739
传真:
+86 (010) 6788 5057
电子邮件:
orders@antibodies-online.cn

BOLL 抗体 (AA 1-283)

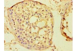
The 兔 多克隆 anti-BOLL antibody (ABIN7165144) specifically detects BOLL in ELISA 和 IHC. The antibody is reactive with 人 samples.
产品编号 ABIN7165144
发货至: 中国
Contact our Customer Service for availability and price in your country. Contact Info

Our Local Distributor

中国
北京 101111
No. 88 KeChuang 6th Street
Beijing Economic Technological Development Area
Room 801-803
4A Biotech Co.,Ltd.
Tel +86 (0512) 65829739 传真 +86 (010) 6788 5057

Quick Overview for BOLL 抗体 (AA 1-283) (ABIN7165144)

抗原

See all BOLL 抗体
BOLL (Bol, Boule-Like (BOLL))

适用

  • 36
  • 15
  • 3
  • 2
  • 1
  • 1
  • 1
  • 1
  • 1
  • 1
  • 1

宿主

  • 42
  • 8
  • 1

克隆类型

  • 43
  • 8
多克隆

标记

  • 24
  • 3
  • 3
  • 2
  • 1
  • 1
  • 1
  • 1
  • 1
  • 1
  • 1
  • 1
  • 1
  • 1
  • 1
  • 1
  • 1
  • 1
  • 1
  • 1
  • 1
  • 1
  • 1
This BOLL antibody is un-conjugated

应用范围

  • 43
  • 20
  • 13
  • 13
  • 6
  • 3
  • 3
  • 3
  • 2
  • 1
  • 1
ELISA, Immunohistochemistry (IHC)
  • 抗原表位

    • 15
    • 9
    • 7
    • 3
    • 3
    • 3
    • 2
    • 1
    • 1
    • 1
    AA 1-283

    原理

    BOLL Antibody

    纯化方法

    Antigen Affinity Purified

    免疫原

    Recombinant Human Protein boule-like protein (1-283AA)

    亚型

    IgG
  • 应用备注

    Optimal working dilution should be determined by the investigator.

    限制

    仅限研究用
  • 状态

    Liquid

    缓冲液

    PBS with 0.02 % sodium azide, 50 % glycerol, pH 7.3.

    储存液

    Sodium azide

    注意事项

    This product contains Sodium azide: a POISONOUS AND HAZARDOUS SUBSTANCE which should be handled by trained staff only.

    储存条件

    -20 °C,-80 °C

    储存方法

    Upon receipt, store at -20°C or -80°C. Avoid repeated freeze.
  • 抗原

    BOLL (Bol, Boule-Like (BOLL))

    别名

    BOLL

    背景

    Background: Probable RNA-binding protein, which may be required during spermatogenesis. May act by binding to the 3\\\'-UTR of mRNAs and regulating their translation.

    Aliases: Bol (Drosophila boule homolog) like antibody, Bol antibody, Bol boule like antibody, Bol, boule like (Drosophila) antibody, bol, boule-like (Drosophila) antibody, Boll antibody, BOLL_HUMAN antibody, BOULE antibody, Boule like antibody, BOULE, Drosophila, homolog of antibody, Protein boule like antibody, Protein boule-like antibody, Putative uncharacterized protein BOLL antibody

    UniProt

    Q8N9W6
You are here: