电话:
+86 (0512) 65829739
传真:
+86 (010) 6788 5057
电子邮件:
orders@antibodies-online.cn

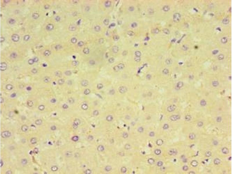
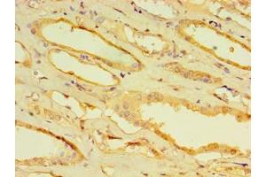
CPVL 抗体 (AA 23-476)

The 兔 多克隆 anti-CPVL antibody (ABIN7164598) specifically detects CPVL in ELISA 和 IHC. The antibody is reactive with 人 samples.
产品编号 ABIN7164598
发货至: 中国
Contact our Customer Service for availability and price in your country. Contact Info

Our Local Distributor

中国
北京 101111
No. 88 KeChuang 6th Street
Beijing Economic Technological Development Area
Room 801-803
4A Biotech Co.,Ltd.
Tel +86 (0512) 65829739 传真 +86 (010) 6788 5057

Quick Overview for CPVL 抗体 (AA 23-476) (ABIN7164598)

抗原

See all CPVL 抗体
CPVL (Carboxypeptidase, Vitellogenic-Like (CPVL))

适用

  • 26
  • 3
  • 3
  • 3
  • 2
  • 2
  • 1
  • 1

宿主

  • 24
  • 3

克隆类型

  • 24
  • 3
多克隆

标记

  • 17
  • 2
  • 1
  • 1
  • 1
  • 1
  • 1
  • 1
  • 1
  • 1
This CPVL antibody is un-conjugated

应用范围

  • 17
  • 7
  • 4
  • 3
  • 2
ELISA, Immunohistochemistry (IHC)
  • 抗原表位

    • 4
    • 4
    • 2
    • 2
    • 1
    • 1
    • 1
    • 1
    • 1
    • 1
    AA 23-476

    原理

    CPVL Antibody

    纯化方法

    Protein G purified

    纯度

    >95 %

    免疫原

    Recombinant Human Probable serine carboxypeptidase CPVL protein (23-476AA)

    亚型

    IgG
  • 应用备注

    Optimal working dilution should be determined by the investigator.

    限制

    仅限研究用
  • 状态

    Liquid

    缓冲液

    Preservative: 0.03 % Proclin 300
    Constituents: 50 % Glycerol, 0.01M PBS, PH 7.4

    储存液

    ProClin

    注意事项

    This product contains ProClin: a POISONOUS AND HAZARDOUS SUBSTANCE which should be handled by trained staff only.

    储存条件

    -20 °C,-80 °C

    储存方法

    Upon receipt, store at -20°C or -80°C. Avoid repeated freeze.
  • 抗原

    CPVL (Carboxypeptidase, Vitellogenic-Like (CPVL))

    别名

    CPVL

    背景

    Background: May be involved in the digestion of phagocytosed particles in the lysosome, participation in an inflammatory protease cascade, and trimming of peptides for antigen presentation.

    Aliases: Carboxypeptidase antibody, Carboxypeptidase vitellogenic like antibody, carboxypeptidase WUG antibody, CP-Mac carboxypeptidase antibody, cpvl antibody, CPVL_HUMAN antibody, HVLP antibody, MGC10029 antibody, Probable serine carboxypeptidase CPVL antibody, Serine carboxypeptidase vitellogenic like antibody, VCP like protein antibody, VCP-like protein antibody, Vitellogenic carboxypeptidase like protein antibody, Vitellogenic carboxypeptidase-like protein antibody, vitellogenic-like antibody, VLP antibody

    UniProt

    Q9H3G5
You are here: