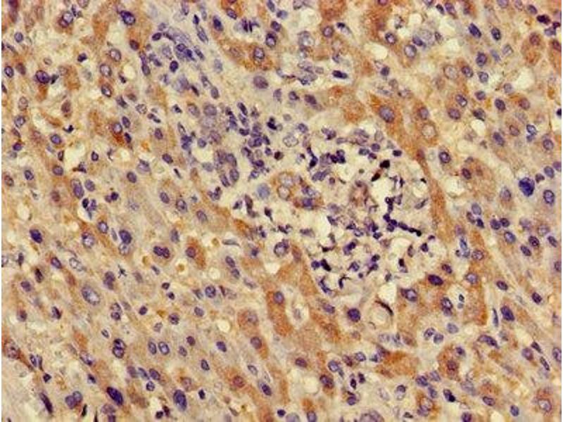
LDHD 抗体 (AA 310-507)
Our Local Distributor
北京 101111
Quick Overview for LDHD 抗体 (AA 310-507) (ABIN7164407)
抗原
See all LDHD 抗体适用
宿主
克隆类型
标记
应用范围
-
-
抗原表位
- AA 310-507
-
原理
- LDHD Antibody
-
纯化方法
- Protein G purified
-
纯度
- >95 %
-
免疫原
- Recombinant Human Probable D-lactate dehydrogenase, mitochondrial protein (310-507AA)
-
亚型
- IgG
-
-
-
-
应用备注
- Optimal working dilution should be determined by the investigator.
-
限制
- 仅限研究用
-
-
-
状态
- Liquid
-
缓冲液
-
Preservative: 0.03 % Proclin 300
Constituents: 50 % Glycerol, 0.01M PBS, PH 7.4 -
储存液
- ProClin
-
注意事项
- This product contains ProClin: a POISONOUS AND HAZARDOUS SUBSTANCE which should be handled by trained staff only.
-
储存条件
- -20 °C,-80 °C
-
储存方法
- Upon receipt, store at -20°C or -80°C. Avoid repeated freeze.
-
-
- LDHD (Lactate Dehydrogenase D (LDHD))
-
别名
- LDHD
-
背景
-
Background: mitochondrion
Aliases: D lactate dehydrogenase antibody, DLD antibody, Lactate dehydrogenase D antibody, Ldhd antibody, LDHD_HUMAN antibody, MGC57726 antibody, mitochondrial antibody, Probable D lactate dehydrogenase mitochondrial antibody, Probable D-lactate dehydrogenase antibody
-
UniProt
- Q86WU2
-
途径
- Ribonucleoside Biosynthetic Process
抗原
-