电话:
+86 (0512) 65829739
传真:
+86 (010) 6788 5057
电子邮件:
orders@antibodies-online.cn

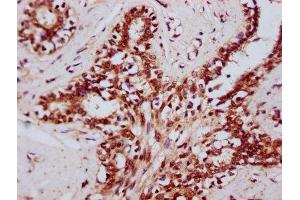
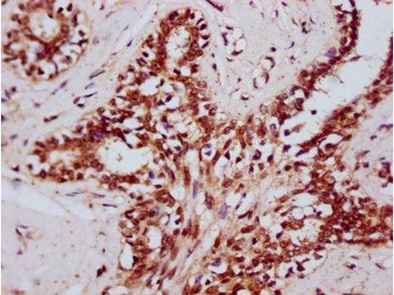
DHX38 抗体 (AA 113-280)

The 兔 多克隆 anti-DHX38 antibody (ABIN7164169) specifically detects DHX38 in ELISA 和 IHC. The antibody is reactive with 人 samples.
产品编号 ABIN7164169
发货至: 中国
Contact our Customer Service for availability and price in your country. Contact Info

Our Local Distributor

中国
北京 101111
No. 88 KeChuang 6th Street
Beijing Economic Technological Development Area
Room 801-803
4A Biotech Co.,Ltd.
Tel +86 (0512) 65829739 传真 +86 (010) 6788 5057

Quick Overview for DHX38 抗体 (AA 113-280) (ABIN7164169)

抗原

See all DHX38 抗体
DHX38 (DEAH (Asp-Glu-Ala-His) Box Polypeptide 38 (DHX38))

适用

  • 24
  • 11
  • 10
  • 5
  • 5
  • 5
  • 4
  • 4
  • 3
  • 2
  • 1
  • 1
  • 1
  • 1

宿主

  • 19
  • 5

克隆类型

  • 19
  • 5
多克隆

标记

  • 21
  • 1
  • 1
  • 1
This DHX38 antibody is un-conjugated

应用范围

  • 17
  • 9
  • 7
  • 5
  • 4
  • 3
  • 3
  • 2
  • 2
  • 2
  • 1
ELISA, Immunohistochemistry (IHC)
  • 抗原表位

    • 3
    • 3
    • 3
    • 2
    • 1
    • 1
    • 1
    • 1
    • 1
    • 1
    • 1
    AA 113-280

    原理

    DHX38 Antibody

    纯化方法

    Protein G purified

    纯度

    >95 %

    免疫原

    Recombinant Human Pre-mRNA-splicing factor ATP-dependent RNA helicase PRP16 protein (113-280AA)

    亚型

    IgG
  • 应用备注

    Optimal working dilution should be determined by the investigator.

    限制

    仅限研究用
  • 状态

    Liquid

    缓冲液

    Preservative: 0.03 % Proclin 300
    Constituents: 50 % Glycerol, 0.01M PBS, pH 7.4

    储存液

    ProClin

    注意事项

    This product contains ProClin: a POISONOUS AND HAZARDOUS SUBSTANCE which should be handled by trained staff only.

    储存条件

    -20 °C,-80 °C

    储存方法

    Upon receipt, store at -20°C or -80°C. Avoid repeated freeze.
  • 抗原

    DHX38 (DEAH (Asp-Glu-Ala-His) Box Polypeptide 38 (DHX38))

    别名

    DHX38

    背景

    Background: Probable ATP-binding RNA helicase involved in pre-mRNA splicing.

    Aliases: ATP dependent RNA helicase DHX38 antibody, ATP-dependent RNA helicase DHX38 antibody, DDX38 antibody, DEAD/H (Asp-Glu-Ala-Asp/His) box polypeptide 38 antibody, DEAH (Asp-Glu-Ala-His) box polypeptide 38 antibody, DEAH box protein 38 antibody, DHX38 antibody, KIAA0224 antibody, Pre mRNA splicing factor ATP dependent RNA helicase PRP16 antibody, Pre-mRNA splicing factor 16 antibody, Pre-mRNA-splicing factor ATP-dependent RNA helicase prp16 antibody, Prp16 antibody, PRP16 homolog of S.cerevisiae, pre-mRNA splicing factor ATP-dependent RNA helicase PRP16 antibody, PRP16_HUMAN antibody, PRPF16 antibody

    UniProt

    Q92620
You are here: