电话:
+86 (0512) 65829739
传真:
+86 (010) 6788 5057
电子邮件:
orders@antibodies-online.cn

PRDM4 抗体 (AA 301-500)

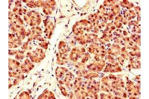
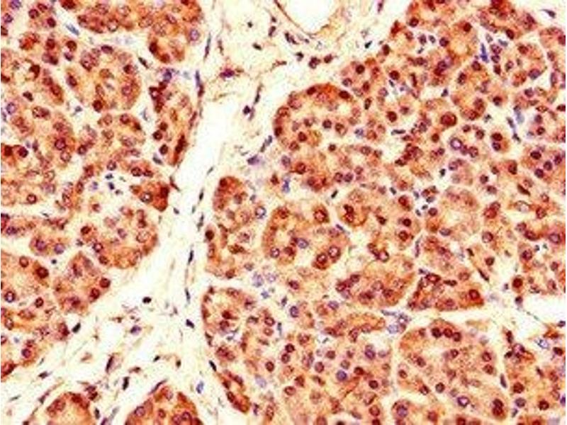
The 兔 多克隆 anti-PRDM4 antibody (ABIN7164097) specifically detects PRDM4 in ELISA, WB 和 IHC. The antibody is reactive with 人 samples.
产品编号 ABIN7164097
发货至: 中国
Contact our Customer Service for availability and price in your country. Contact Info

Our Local Distributor

中国
北京 101111
No. 88 KeChuang 6th Street
Beijing Economic Technological Development Area
Room 801-803
4A Biotech Co.,Ltd.
Tel +86 (0512) 65829739 传真 +86 (010) 6788 5057

Quick Overview for PRDM4 抗体 (AA 301-500) (ABIN7164097)

抗原

See all PRDM4 抗体
PRDM4 (PR Domain Containing 4 (PRDM4))

适用

  • 29
  • 7
  • 5
  • 2
  • 1
  • 1
  • 1
  • 1
  • 1
  • 1
  • 1
  • 1
  • 1

宿主

  • 14
  • 12
  • 2
  • 1

克隆类型

  • 16
  • 12
  • 1
多克隆

标记

  • 17
  • 2
  • 2
  • 1
  • 1
  • 1
  • 1
  • 1
  • 1
  • 1
  • 1
This PRDM4 antibody is un-conjugated

应用范围

  • 16
  • 13
  • 9
  • 5
  • 4
  • 3
  • 2
  • 2
  • 2
  • 2
  • 1
ELISA, Western Blotting (WB), Immunohistochemistry (IHC)
  • 抗原表位

    • 5
    • 4
    • 4
    • 1
    • 1
    • 1
    AA 301-500

    原理

    PRDM4 Antibody

    交叉反应

    小鼠

    纯化方法

    Protein G purified

    纯度

    >95 %

    免疫原

    Recombinant Human PR domain zinc finger protein 4 protein (301-500AA)

    亚型

    IgG
  • 应用备注

    Optimal working dilution should be determined by the investigator.

    限制

    仅限研究用
  • 状态

    Liquid

    缓冲液

    Preservative: 0.03 % Proclin 300
    Constituents: 50 % Glycerol, 0.01M PBS, PH 7.4

    储存液

    ProClin

    注意事项

    This product contains ProClin: a POISONOUS AND HAZARDOUS SUBSTANCE which should be handled by trained staff only.

    储存条件

    -20 °C,-80 °C

    储存方法

    Upon receipt, store at -20°C or -80°C. Avoid repeated freeze.
  • 抗原

    PRDM4 (PR Domain Containing 4 (PRDM4))

    别名

    PRDM4

    背景

    Background: May function as a transcription factor involved in cell differentiation.

    Aliases: MGC45046 antibody, PFM 1 antibody, PFM1 antibody, PR domain containing 4 antibody, PR domain containing protein 4 antibody, PR domain zinc finger protein 4 antibody, PR domain zinc finger protein PFM 1 antibody, PR domain zinc finger protein PFM1 antibody, PR domain-containing protein 4 antibody, PR/SET domain 4 antibody, PRDM 4 antibody, PRDM4 antibody, PRDM4_HUMAN antibody

    UniProt

    Q9UKN5

    途径

    Neurotrophin Signaling Pathway
You are here: