电话:
+86 (0512) 65829739
传真:
+86 (010) 6788 5057
电子邮件:
orders@antibodies-online.cn

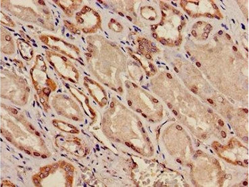
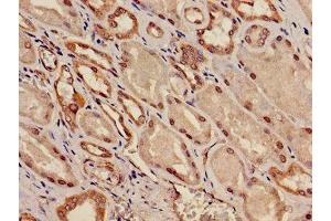
KCNK1 抗体 (AA 268-336)

The 兔 多克隆 anti-KCNK1 antibody is suitable to detect KCNK1 in samples from 人. It has been validated for ELISA, IHC 和 IF.
产品编号 ABIN7163916
发货至: 中国
Contact our Customer Service for availability and price in your country. Contact Info

Our Local Distributor

中国
北京 101111
No. 88 KeChuang 6th Street
Beijing Economic Technological Development Area
Room 801-803
4A Biotech Co.,Ltd.
Tel +86 (0512) 65829739 传真 +86 (010) 6788 5057

Quick Overview for KCNK1 抗体 (AA 268-336) (ABIN7163916)

抗原

See all KCNK1 抗体
KCNK1 (Potassium Channel Subfamily K Member 1 (KCNK1))

适用

  • 40
  • 20
  • 14
  • 3
  • 2
  • 2
  • 1
  • 1
  • 1
  • 1

宿主

  • 52
  • 3

克隆类型

  • 52
  • 3
多克隆

标记

  • 20
  • 5
  • 5
  • 4
  • 2
  • 2
  • 1
  • 1
  • 1
  • 1
  • 1
  • 1
  • 1
  • 1
  • 1
  • 1
  • 1
  • 1
  • 1
  • 1
  • 1
  • 1
  • 1
This KCNK1 antibody is un-conjugated

应用范围

  • 27
  • 26
  • 13
  • 13
  • 10
  • 8
  • 4
  • 3
  • 2
  • 2
  • 1
ELISA, Immunohistochemistry (IHC), Immunofluorescence (IF)
  • 抗原表位

    • 15
    • 8
    • 7
    • 5
    • 4
    • 2
    • 1
    • 1
    • 1
    • 1
    • 1
    • 1
    • 1
    • 1
    • 1
    AA 268-336

    原理

    KCNK1 Antibody

    纯化方法

    Protein G purified

    纯度

    >95 %

    免疫原

    Recombinant Human Potassium channel subfamily K member 1 protein (268-336AA)

    亚型

    IgG
  • 应用备注

    Optimal working dilution should be determined by the investigator.

    限制

    仅限研究用
  • 状态

    Liquid

    缓冲液

    Preservative: 0.03 % Proclin 300
    Constituents: 50 % Glycerol, 0.01M PBS, pH 7.4

    储存液

    ProClin

    注意事项

    This product contains ProClin: a POISONOUS AND HAZARDOUS SUBSTANCE which should be handled by trained staff only.

    储存条件

    -20 °C,-80 °C

    储存方法

    Upon receipt, store at -20°C or -80°C. Avoid repeated freeze.
  • 抗原

    KCNK1 (Potassium Channel Subfamily K Member 1 (KCNK1))

    别名

    KCNK1

    背景

    Background: Ion channel that contributes to passive transmembrane potassium transport and to the regulation of the resting membrane potential in brain astrocytes, but also in kidney and in other tissues (PubMed:15820677, PubMed:21653227). Forms dimeric channels through which potassium ions pass in accordance with their electrochemical gradient. The channel is selective for K(+) ions at physiological potassium concentrations and at neutral pH , but becomes permeable to Na(+) at subphysiological K(+) levels and upon acidification of the extracellular medium (PubMed:21653227, PubMed:22431633). The homodimer has very low potassium channel activity, when expressed in heterologous systems, and can function as weakly inward rectifying potassium channel (PubMed:8605869, PubMed:8978667, PubMed:15820677, PubMed:21653227, PubMed:22431633, PubMed:23169818, PubMed:25001086). Channel activity is modulated by activation of serotonin receptors (By similarity). Heterodimeric channels containing KCNK1 and KCNK2 have much higher activity, and may represent the predominant form in astrocytes (By similarity). Heterodimeric channels containing KCNK1 and KCNK3 or KCNK9 have much higher activity (PubMed:23169818). Heterodimeric channels formed by KCNK1 and KCNK9 may contribute to halothane-sensitive currents (PubMed:23169818). Mediates outward rectifying potassium currents in dentate gyrus granule cells and contributes to the regulation of their resting membrane potential (By similarity). Contributes to the regulation of action potential firing in dentate gyrus granule cells and down-regulates their intrinsic excitability (By similarity). In astrocytes, the heterodimer formed by KCNK1 and KCNK2 is required for rapid glutamate release in response to activation of G-protein coupled receptors, such as F2R and CNR1 (By similarity). Required for normal ion and water transport in the kidney (By similarity). Contributes to the regulation of the resting membrane potential of pancreatic beta cells (By similarity). The low channel activity of homodimeric KCNK1 may be due to sumoylation (PubMed:15820677, PubMed:20498050, PubMed:23169818). The low channel activity may be due to rapid internalization from the cell membrane and retention in recycling endosomes (PubMed:19959478).

    Aliases: DPK antibody, HOHO antibody, HOHO1 antibody, inward rectifying potassium channel protein TWIK 1 antibody, Inward rectifying potassium channel protein TWIK-1 antibody, Inward rectifying potassium channel protein TWIK1 antibody, K2P1 antibody, K2p1.1 antibody, KCNK1 antibody, KCNK1_HUMAN antibody, KCNO1 antibody, OTTHUMP00000036029 antibody, Potassium channel KCNO1 antibody, Potassium channel subfamily K member 1 antibody, Potassium inwardly rectifying channel subfamily K member 1 antibody, TWIK 1 antibody, TWIK1 antibody

    UniProt

    O00180
You are here: