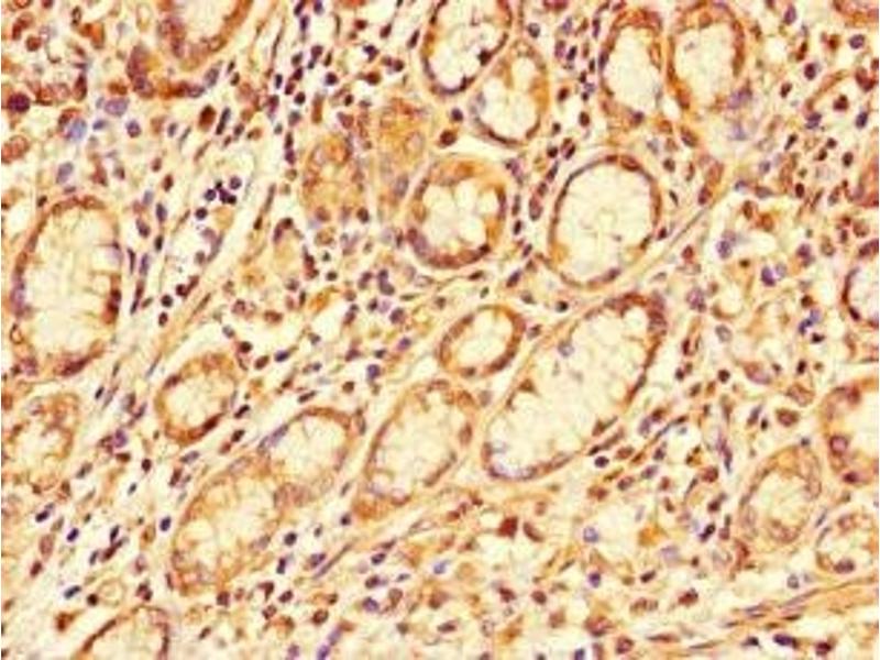
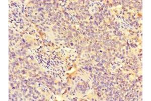
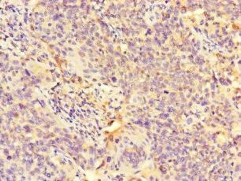
GALNT11 抗体 (AA 420-606)
Our Local Distributor
北京 101111
Quick Overview for GALNT11 抗体 (AA 420-606) (ABIN7163856)
抗原
适用
宿主
克隆类型
标记
应用范围
-
-
抗原表位
- AA 420-606
-
原理
- GALNT11 Antibody
-
纯化方法
- Protein G purified
-
纯度
- >95 %
-
免疫原
- Recombinant Human Polypeptide N-acetylgalactosaminyltransferase 11 protein (420-606AA)
-
亚型
- IgG
-
-
-
-
应用备注
- Optimal working dilution should be determined by the investigator.
-
限制
- 仅限研究用
-
-
-
状态
- Liquid
-
缓冲液
-
Preservative: 0.03 % Proclin 300
Constituents: 50 % Glycerol, 0.01M PBS, PH 7.4 -
储存液
- ProClin
-
注意事项
- This product contains ProClin: a POISONOUS AND HAZARDOUS SUBSTANCE which should be handled by trained staff only.
-
储存条件
- -20 °C,-80 °C
-
储存方法
- Upon receipt, store at -20°C or -80°C. Avoid repeated freeze.
-
-
- GALNT11 (UDP-N-Acetyl-alpha-D-Galactosamine:polypeptide N-Acetylgalactosaminyltransferase 11 (GalNAc-T11) (GALNT11))
-
别名
- GALNT11
-
背景
-
Background: Polypeptide N-acetylgalactosaminyltransferase that catalyzes the initiation of protein O-linked glycosylation and is involved in left/right asymmetry by mediating O-glycosylation of NOTCH1. O-glycosylation of NOTCH1 promotes activation of NOTCH1, modulating the balance between motile and immotile (sensory) cilia at the left-right organiser (LRO). Polypeptide N-acetylgalactosaminyltransferases catalyze the transfer of an N-acetyl-D-galactosamine residue to a serine or threonine residue on the protein receptor. Displays the same enzyme activity toward MUC1, MUC4, and EA2 than GALNT1. Not involved in glycosylation of erythropoietin (EPO).
Aliases: A430075I06Rik antibody, AI648252 antibody, E430002F06Rik antibody, FLJ21634 antibody, GalNAc Transferase 11 antibody, GalNAc-T11 antibody, GalNAcT11 antibody, GALNT11 antibody, GLT11_HUMAN antibody, MGC71630 antibody, Polypeptide GalNAc transferase 11 antibody, Polypeptide N-acetylgalactosaminyltransferase 11 antibody, pp-GaNTase 11 antibody, Protein-UDP acetylgalactosaminyltransferase 11 antibody, tcag7.1057 antibody, UDP-GalNAc:polypeptide N-acetylgalactosaminyltransferase 11 antibody, UDP-N-acetyl-alpha-D-galactosamine:polypeptide N-acetylgalactosaminyltransferase 11 (GalNAc-T11) antibody
-
UniProt
- Q8NCW6
抗原
-