电话:
+86 (0512) 65829739
传真:
+86 (010) 6788 5057
电子邮件:
orders@antibodies-online.cn

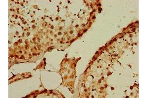
PQBP1 抗体 (AA 2-265)

This 兔 多克隆 antibody specifically detects PQBP1 in ELISA 和 IHC. It exhibits reactivity toward 人.
产品编号 ABIN7163840
发货至: 中国
Contact our Customer Service for availability and price in your country. Contact Info

Our Local Distributor

中国
北京 101111
No. 88 KeChuang 6th Street
Beijing Economic Technological Development Area
Room 801-803
4A Biotech Co.,Ltd.
Tel +86 (0512) 65829739 传真 +86 (010) 6788 5057

Quick Overview for PQBP1 抗体 (AA 2-265) (ABIN7163840)

抗原

See all PQBP1 抗体
PQBP1 (Polyglutamine Binding Protein 1 (PQBP1))

适用

  • 36
  • 10
  • 8
  • 5
  • 5
  • 5
  • 4
  • 4
  • 4
  • 2
  • 1

宿主

  • 34
  • 3

克隆类型

  • 34
  • 3
多克隆

标记

  • 19
  • 3
  • 2
  • 2
  • 1
  • 1
  • 1
  • 1
  • 1
  • 1
  • 1
  • 1
  • 1
  • 1
  • 1
This PQBP1 antibody is un-conjugated

应用范围

  • 31
  • 13
  • 13
  • 11
  • 7
  • 7
  • 4
  • 4
  • 3
  • 2
  • 1
ELISA, Immunohistochemistry (IHC)
  • 抗原表位

    • 15
    • 4
    • 3
    • 2
    • 2
    • 2
    • 2
    • 1
    • 1
    AA 2-265

    原理

    PQBP1 Antibody

    纯化方法

    Protein G purified

    纯度

    >95 %

    免疫原

    Recombinant Human Polyglutamine-binding protein 1 protein (2-265AA)

    亚型

    IgG
  • 应用备注

    Optimal working dilution should be determined by the investigator.

    限制

    仅限研究用
  • 状态

    Liquid

    缓冲液

    Preservative: 0.03 % Proclin 300
    Constituents: 50 % Glycerol, 0.01M PBS, PH 7.4

    储存液

    ProClin

    注意事项

    This product contains ProClin: a POISONOUS AND HAZARDOUS SUBSTANCE which should be handled by trained staff only.

    储存条件

    -20 °C,-80 °C

    储存方法

    Upon receipt, store at -20°C or -80°C. Avoid repeated freeze.
  • 抗原

    PQBP1 (Polyglutamine Binding Protein 1 (PQBP1))

    别名

    PQBP1

    背景

    Background: Probably functions as scaffold protein that is part of numerous complexes and thereby plays a role in pre-mRNA splicing, transcription regulation and neuron development. Required for normal alternative splicing of target pre-mRNA species (PubMed:23512658). May suppress the ability of POU3F2 to transactivate the DRD1 gene in a POU3F2 dependent manner. Can activate transcription directly or via association with the transcription machinery. May be involved in ATXN1 mutant-induced cell death. The interaction with ATXN1 mutant reduces levels of phosphorylated RNA polymerase II large subunit.

    Aliases: 38 kDa nuclear protein containing a WW domain antibody, Mental retardation, X linked 55 antibody, MRX55 antibody, MRXS3 antibody, MRXS8 antibody, Npw38 antibody, Nuclear protein containing WW domain 38 kD antibody, OTTHUMP00000025808 antibody, Polyglutamine binding protein 1 antibody, Polyglutamine tract binding protein 1 antibody, Polyglutamine tract-binding protein 1 antibody, Polyglutamine-binding protein 1 antibody, PQBP 1 antibody, PQBP-1 antibody, PQBP1 antibody, PQBP1_HUMAN antibody, RENS1 antibody, SHS antibody, Sutherland Haan X linked mental retardation syndrome antibody

    UniProt

    O60828

    途径

    Ribonucleoprotein Complex Subunit Organization
You are here: