电话:
+86 (0512) 65829739
传真:
+86 (010) 6788 5057
电子邮件:
orders@antibodies-online.cn

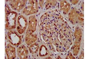
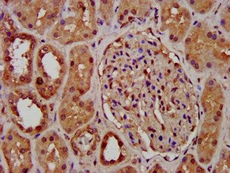
PCGF1 抗体 (AA 113-187)

The 兔 多克隆 anti-PCGF1 antibody (ABIN7163794) specifically detects PCGF1 in ELISA, IF 和 IHC. The antibody is reactive with 人 samples.
产品编号 ABIN7163794
发货至: 中国
Contact our Customer Service for availability and price in your country. Contact Info

Our Local Distributor

中国
北京 101111
No. 88 KeChuang 6th Street
Beijing Economic Technological Development Area
Room 801-803
4A Biotech Co.,Ltd.
Tel +86 (0512) 65829739 传真 +86 (010) 6788 5057

Quick Overview for PCGF1 抗体 (AA 113-187) (ABIN7163794)

抗原

See all PCGF1 抗体
PCGF1 (Polycomb Group Ring Finger 1 (PCGF1))

适用

  • 30
  • 20
  • 20
  • 2
  • 2
  • 2
  • 2
  • 2
  • 2
  • 1
  • 1

宿主

  • 44
  • 1

克隆类型

  • 45
多克隆

标记

  • 12
  • 4
  • 3
  • 3
  • 2
  • 2
  • 2
  • 2
  • 2
  • 2
  • 2
  • 2
  • 2
  • 2
  • 2
  • 1
This PCGF1 antibody is un-conjugated

应用范围

  • 41
  • 26
  • 26
  • 11
  • 6
  • 6
  • 1
  • 1
ELISA, Immunofluorescence (IF), Immunohistochemistry (IHC)
  • 抗原表位

    • 15
    • 15
    • 4
    • 2
    • 2
    • 1
    • 1
    • 1
    • 1
    • 1
    AA 113-187

    原理

    PCGF1 Antibody

    纯化方法

    Protein G purified

    纯度

    >95 %

    免疫原

    Recombinant Human Polycomb group RING finger protein 1 protein (113-187AA)

    亚型

    IgG
  • 应用备注

    Optimal working dilution should be determined by the investigator.

    限制

    仅限研究用
  • 状态

    Liquid

    缓冲液

    Preservative: 0.03 % Proclin 300
    Constituents: 50 % Glycerol, 0.01M PBS, pH 7.4

    储存液

    ProClin

    注意事项

    This product contains ProClin: a POISONOUS AND HAZARDOUS SUBSTANCE which should be handled by trained staff only.

    储存条件

    -20 °C,-80 °C

    储存方法

    Upon receipt, store at -20°C or -80°C. Avoid repeated freeze.
  • 抗原

    PCGF1 (Polycomb Group Ring Finger 1 (PCGF1))

    别名

    PCGF1

    背景

    Background: Component of the Polycomb group (PcG) multiprotein BCOR complex, a complex required to maintain the transcriptionally repressive state of some genes, such as BCL6 and the cyclin-dependent kinase inhibitor, CDKN1A. Transcriptional repressor that may be targeted to the DNA by BCL6, this transcription repressor activity may be related to PKC signaling pathway. Represses CDKN1A expression by binding to its promoter, and this repression is dependent on the retinoic acid response element (RARE element). Promotes cell cycle progression and enhances cell proliferation as well. May have a positive role in tumor cell growth by down-regulating CDKN1A. Component of a Polycomb group (PcG) multiprotein PRC1-like complex, a complex class required to maintain the transcriptionally repressive state of many genes, including Hox genes, throughout development. PcG PRC1 complex acts via chromatin remodeling and modification of histones, it mediates monoubiquitination of histone H2A \\\'Lys-119\\\', rendering chromatin heritably changed in its expressibility. Regulates the expression of DPPA4 and NANOG in the NT2 embryonic carcinoma cells (PubMed:26687479).

    Aliases: PCGF1 antibody, NSPC1 antibody, RNF68 antibody, Polycomb group RING finger protein 1 antibody, Nervous system Polycomb-1 antibody, NSPc1 antibody, RING finger protein 68 antibody

    UniProt

    Q9BSM1
You are here: