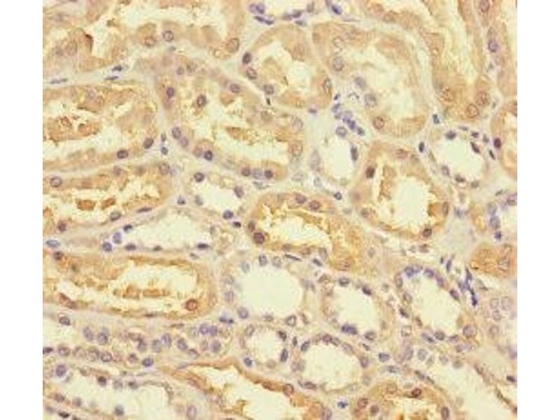
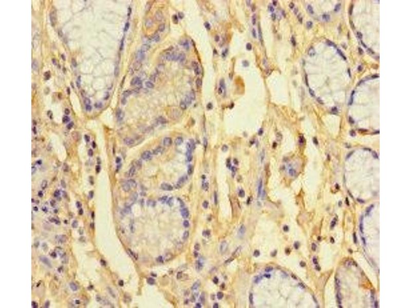
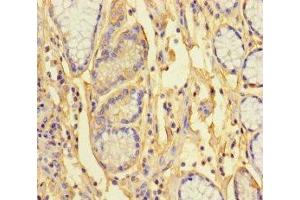
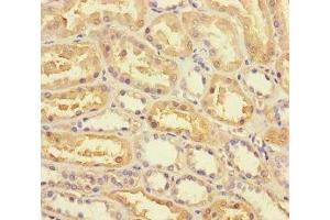
ANKRD33 抗体 (AA 1-272)
Our Local Distributor
北京 101111
Quick Overview for ANKRD33 抗体 (AA 1-272) (ABIN7163422)
抗原
适用
宿主
克隆类型
标记
应用范围
-
-
抗原表位
- AA 1-272
-
原理
- ANKRD33 Antibody
-
纯化方法
- Protein G purified
-
纯度
- >95 %
-
免疫原
- Recombinant Human Photoreceptor ankyrin repeat protein (1-272AA)
-
亚型
- IgG
-
-
-
-
应用备注
- Optimal working dilution should be determined by the investigator.
-
限制
- 仅限研究用
-
-
-
状态
- Liquid
-
缓冲液
-
Preservative: 0.03 % Proclin 300
Constituents: 50 % Glycerol, 0.01M PBS, PH 7.4 -
储存液
- ProClin
-
注意事项
- This product contains ProClin: a POISONOUS AND HAZARDOUS SUBSTANCE which should be handled by trained staff only.
-
储存条件
- -20 °C,-80 °C
-
储存方法
- Upon receipt, store at -20°C or -80°C. Avoid repeated freeze.
-
-
- ANKRD33 (Ankyrin Repeat Domain 33 (ANKRD33))
-
别名
- ANKRD33
-
背景
-
Background: Acts as a transcriptional repressor for CRX-activated photoreceptor gene regulation.
Aliases: Ankrd33 antibody, Ankyrin repeat domain 33 antibody, Ankyrin repeat domain-containing protein 33 antibody, ANR33_HUMAN antibody, C12orf7 antibody, DKFZp686O1689 antibody, PANKY antibody
-
UniProt
- Q7Z3H0
抗原
-