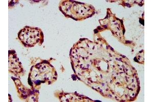
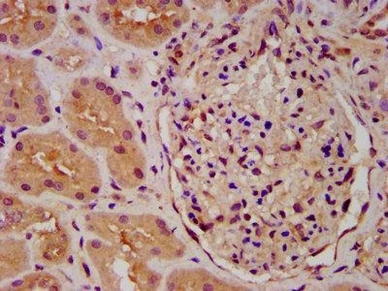
PICALM 抗体 (AA 517-624)
Our Local Distributor
北京 101111
Quick Overview for PICALM 抗体 (AA 517-624) (ABIN7163230)
抗原
See all PICALM 抗体适用
宿主
克隆类型
标记
应用范围
-
-
抗原表位
- AA 517-624
-
原理
- PICALM Antibody
-
纯化方法
- Protein G purified
-
纯度
- >95 %
-
免疫原
- Recombinant Human Phosphatidylinositol-binding clathrin assembly protein (517-624AA)
-
亚型
- IgG
-
-
-
-
应用备注
- Optimal working dilution should be determined by the investigator.
-
限制
- 仅限研究用
-
-
-
状态
- Liquid
-
缓冲液
-
Preservative: 0.03 % Proclin 300
Constituents: 50 % Glycerol, 0.01M PBS, pH 7.4 -
储存液
- ProClin
-
注意事项
- This product contains ProClin: a POISONOUS AND HAZARDOUS SUBSTANCE which should be handled by trained staff only.
-
储存条件
- -20 °C,-80 °C
-
储存方法
- Upon receipt, store at -20°C or -80°C. Avoid repeated freeze.
-
-
- PICALM (Phosphatidylinositol Binding clathrin Assembly Protein (PICALM))
-
别名
- PICALM
-
背景
-
Background: Assembly protein recruiting clathrin and adapter protein complex 2 (AP2) to cell membranes at sites of coated-pit formation and clathrin-vesicle assembly. May be required to determine the amount of membrane to be recycled, possibly by regulating the size of the clathrin cage. Involved in AP2-dependent clathrin-mediated endocytosis at the neuromuscular junction.
Aliases: CALM antibody, Clathrin assembly lymphoid myeloid leukemia antibody, Clathrin assembly lymphoid myeloid leukemia protein antibody, CLTH antibody, LAP antibody, Phosphatidylinositol-binding clathrin assembly protein antibody, PICAL_HUMAN antibody, PICALM antibody
-
UniProt
- Q13492
-
途径
- Synaptic Membrane
抗原
-