电话:
+86 (0512) 65829739
传真:
+86 (010) 6788 5057
电子邮件:
orders@antibodies-online.cn

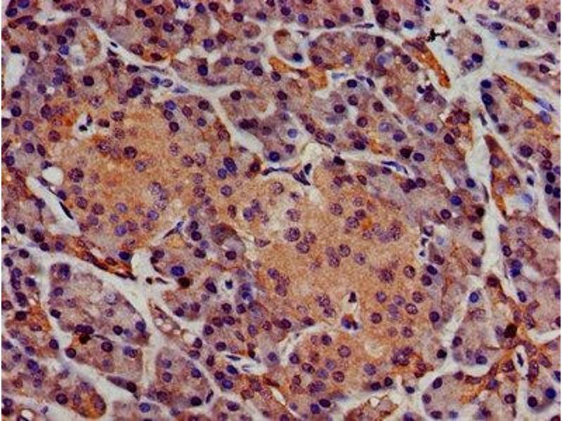
Sphingomyelin Synthase 1 抗体 (AA 48-137)

The 兔 多克隆 anti-Sphingomyelin Synthase 1 antibody (ABIN7163131) specifically detects Sphingomyelin Synthase 1 in WB, ELISA 和 IHC. The antibody is reactive with 人 samples.
产品编号 ABIN7163131
发货至: 中国
Contact our Customer Service for availability and price in your country. Contact Info

Our Local Distributor

中国
北京 101111
No. 88 KeChuang 6th Street
Beijing Economic Technological Development Area
Room 801-803
4A Biotech Co.,Ltd.
Tel +86 (0512) 65829739 传真 +86 (010) 6788 5057

Quick Overview for Sphingomyelin Synthase 1 抗体 (AA 48-137) (ABIN7163131)

抗原

See all Sphingomyelin Synthase 1 (SGMS1) 抗体
Sphingomyelin Synthase 1 (SGMS1)

适用

  • 26
  • 23
  • 8
  • 4
  • 3
  • 3
  • 3
  • 3
  • 2
  • 2
  • 2
  • 1

宿主

  • 42

克隆类型

  • 41
  • 1
多克隆

标记

  • 19
  • 4
  • 3
  • 3
  • 1
  • 1
  • 1
  • 1
  • 1
  • 1
  • 1
  • 1
  • 1
  • 1
  • 1
  • 1
  • 1
This Sphingomyelin Synthase 1 antibody is un-conjugated

应用范围

  • 37
  • 17
  • 13
  • 13
  • 10
  • 5
  • 4
  • 4
  • 2
  • 1
  • 1
Western Blotting (WB), ELISA, Immunohistochemistry (IHC)
  • 抗原表位

    • 15
    • 8
    • 4
    • 3
    • 1
    • 1
    • 1
    • 1
    • 1
    • 1
    • 1
    AA 48-137

    原理

    SGMS1 Antibody

    纯化方法

    Protein G purified

    纯度

    >95 %

    免疫原

    Recombinant Human Phosphatidylcholine:ceramide cholinephosphotransferase 1 protein (48-137AA)

    亚型

    IgG
  • 应用备注

    Optimal working dilution should be determined by the investigator.

    限制

    仅限研究用
  • 状态

    Liquid

    缓冲液

    Preservative: 0.03 % Proclin 300
    Constituents: 50 % Glycerol, 0.01M PBS, pH 7.4

    储存液

    ProClin

    注意事项

    This product contains ProClin: a POISONOUS AND HAZARDOUS SUBSTANCE which should be handled by trained staff only.

    储存条件

    -20 °C,-80 °C

    储存方法

    Upon receipt, store at -20°C or -80°C. Avoid repeated freeze.
  • 抗原

    Sphingomyelin Synthase 1 (SGMS1)

    别名

    SGMS1

    背景

    Background: Sphingomyelin synthases synthesize the sphingolipid, sphingomyelin, through transfer of the phosphatidyl head group, phosphatidylcholine, on to the primary hydroxyl of ceramide. The reaction is bidirectional depending on the respective levels of the sphingolipid and ceramide. Golgi apparatus SMS1 directly and specifically recognizes the choline head group on the substrate, requiring two fatty chains on the choline-P donor molecule in order to be recognized efficiently as a substrate. Major form in macrophages. Required for cell growth in certain cell types such as HeLa cells. Suppresses BAX-mediated apoptosis and also prevents cell death in response to stimuli such as hydrogen peroxide, osmotic stress, elevated temperature and exogenously supplied sphingolipids. May protect against cell death by reversing the stress-inducible increase in levels of proapoptotic ceramide.

    Aliases: SGMS1 antibody, MOB antibody, SMS1 antibody, TMEM23 antibody, Phosphatidylcholine:ceramide cholinephosphotransferase 1 antibody, EC 2.7.8.27 antibody, Medulla oblongata-derived protein antibody, Protein Mob antibody, Sphingomyelin synthase 1 antibody, Transmembrane protein 23 antibody

    UniProt

    Q86VZ5

    途径

    Cellular Response to Molecule of Bacterial Origin
You are here: