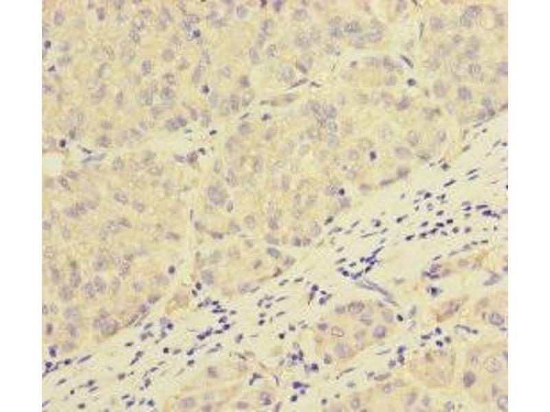
PEX16 抗体 (AA 132-336)
Our Local Distributor
北京 101111
Quick Overview for PEX16 抗体 (AA 132-336) (ABIN7162979)
抗原
See all PEX16 抗体适用
宿主
克隆类型
标记
应用范围
-
-
抗原表位
- AA 132-336
-
原理
- PEX16 Antibody
-
纯化方法
- Antigen Affinity Purified
-
免疫原
- Recombinant Human Peroxisomal membrane protein PEX16 protein (132-336AA)
-
亚型
- IgG
-
-
-
-
应用备注
- Optimal working dilution should be determined by the investigator.
-
限制
- 仅限研究用
-
-
-
状态
- Liquid
-
缓冲液
- PBS with 0.02 % sodium azide, 50 % glycerol, pH 7.3.
-
储存液
- Sodium azide
-
注意事项
- This product contains Sodium azide: a POISONOUS AND HAZARDOUS SUBSTANCE which should be handled by trained staff only.
-
储存条件
- -20 °C,-80 °C
-
储存方法
- Upon receipt, store at -20°C or -80°C. Avoid repeated freeze.
-
-
- PEX16 (Peroxisomal Biogenesis Factor 16 (PEX16))
-
别名
- PEX16
-
背景
-
Background: Required for peroxisome membrane biogenesis. May play a role in early stages of peroxisome assembly. Can recruit other peroxisomal proteins, such as PEX3 and PMP34, to de novo peroxisomes derived from the endoplasmic reticulum (ER). May function as receptor for PEX3.
Aliases: PEX16 antibody, Peroxisomal membrane protein PEX16 antibody, Peroxin-16 antibody, Peroxisomal biogenesis factor 16 antibody
-
UniProt
- Q9Y5Y5
抗原
-