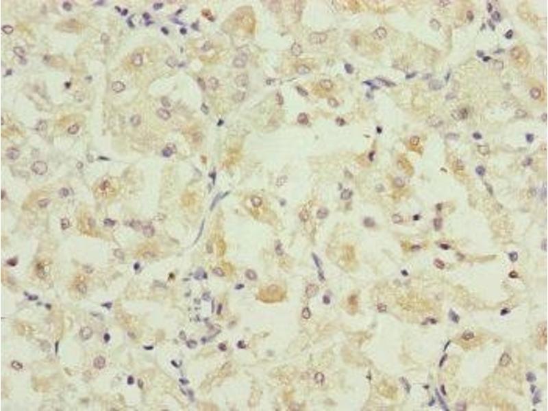
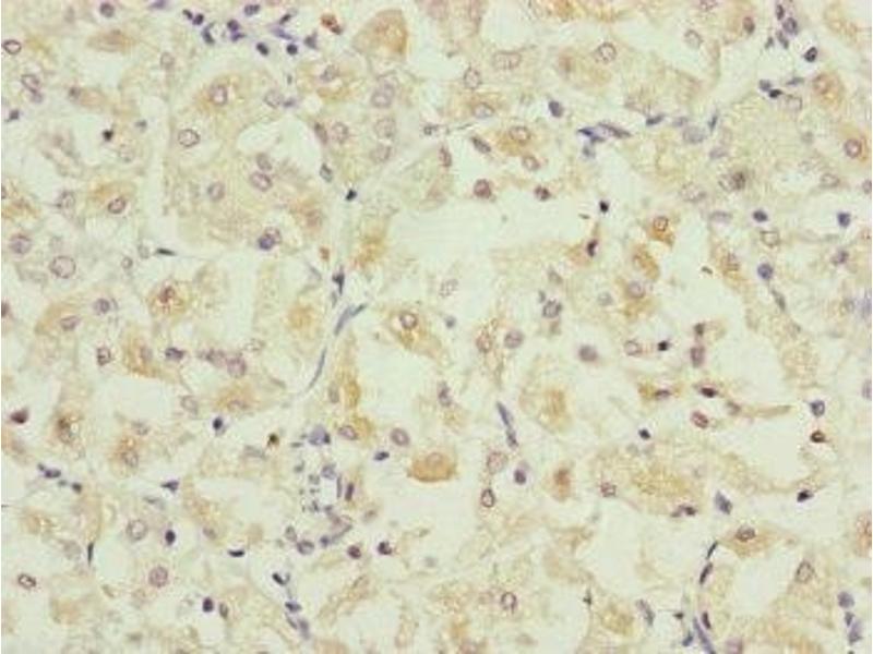
PARD6B 抗体 (AA 253-372)
Our Local Distributor
北京 101111
Quick Overview for PARD6B 抗体 (AA 253-372) (ABIN7162667)
抗原
See all PARD6B 抗体适用
宿主
克隆类型
标记
应用范围
-
-
抗原表位
- AA 253-372
-
原理
- PARD6B Antibody
-
纯化方法
- Antigen Affinity Purified
-
免疫原
- Recombinant Human Partitioning defective 6 homolog beta protein (253-372AA)
-
亚型
- IgG
-
-
-
-
应用备注
- Optimal working dilution should be determined by the investigator.
-
限制
- 仅限研究用
-
-
-
状态
- Liquid
-
缓冲液
- PBS with 0.02 % sodium azide, 50 % glycerol, pH 7.3.
-
储存液
- Sodium azide
-
注意事项
- This product contains Sodium azide: a POISONOUS AND HAZARDOUS SUBSTANCE which should be handled by trained staff only.
-
储存条件
- -20 °C,-80 °C
-
储存方法
- Upon receipt, store at -20°C or -80°C. Avoid repeated freeze.
-
-
- PARD6B (Par-6 Partitioning Defective 6 Homolog beta (PARD6B))
-
别名
- PARD6B
-
背景
-
Background: Adapter protein involved in asymmetrical cell division and cell polarization processes. Probably involved in formation of epithelial tight junctions. Association with PARD3 may prevent the interaction of PARD3 with F11R/JAM1, thereby preventing tight junction assembly. The PARD6-PARD3 complex links GTP-bound Rho small GTPases to atypical protein kinase C proteins.
Aliases: PARD6B antibody, PAR6BPartitioning defective 6 homolog beta antibody, PAR-6 beta antibody, PAR-6B antibody
-
UniProt
- Q9BYG5
-
途径
- Cell-Cell Junction Organization
抗原
-