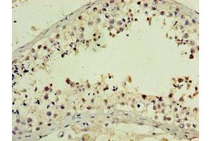
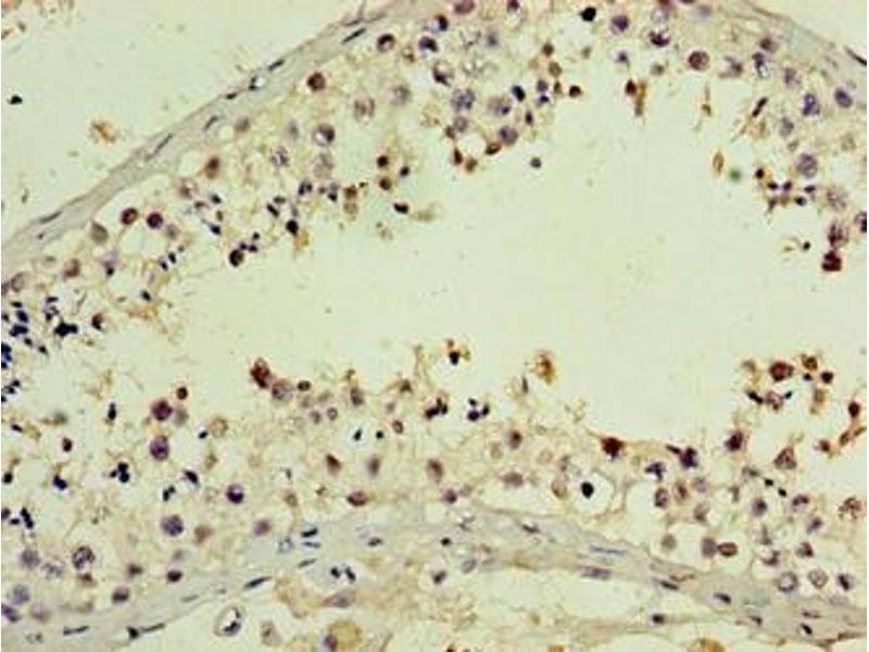
PNMA5 抗体 (AA 4-442)
Our Local Distributor
北京 101111
Quick Overview for PNMA5 抗体 (AA 4-442) (ABIN7162631)
抗原
See all PNMA5 抗体适用
宿主
克隆类型
标记
应用范围
-
-
抗原表位
- AA 4-442
-
原理
- PNMA5 Antibody
-
纯化方法
- Protein G purified
-
纯度
- >95 %
-
免疫原
- Recombinant Human Paraneoplastic antigen-like protein 5 protein (4-442AA)
-
亚型
- IgG
-
-
-
-
应用备注
- Optimal working dilution should be determined by the investigator.
-
限制
- 仅限研究用
-
-
-
状态
- Liquid
-
缓冲液
-
Preservative: 0.03 % Proclin 300
Constituents: 50 % Glycerol, 0.01M PBS, PH 7.4 -
储存液
- ProClin
-
注意事项
- This product contains ProClin: a POISONOUS AND HAZARDOUS SUBSTANCE which should be handled by trained staff only.
-
储存条件
- -20 °C,-80 °C
-
储存方法
- Upon receipt, store at -20°C or -80°C. Avoid repeated freeze.
-
-
- PNMA5 (Paraneoplastic Ma Antigen Family Member 5 (PNMA5))
-
别名
- PNMA5
-
背景
- KIAA1934 antibody, Paraneoplastic antigen like protein 5 antibody, Paraneoplastic antigen-like protein 5 antibody, Paraneoplastic Ma antigen family member 5 antibody, Pnma5 antibody, PNMA5_HUMAN antibody, Tumor antigen BJ HCC 25 antibody, Tumor antigen BJ-HCC-25 antibody
-
UniProt
- Q96PV4
抗原
-