电话:
+86 (0512) 65829739
传真:
+86 (010) 6788 5057
电子邮件:
orders@antibodies-online.cn

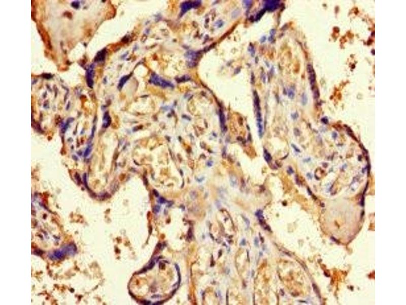
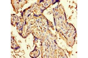
ORC4 抗体 (AA 1-436)

The 兔 多克隆 anti-ORC4 antibody is suitable to detect ORC4 in samples from 人. It has been validated for ELISA, IHC 和 IF.
产品编号 ABIN7162269
发货至: 中国
Contact our Customer Service for availability and price in your country. Contact Info

Our Local Distributor

中国
北京 101111
No. 88 KeChuang 6th Street
Beijing Economic Technological Development Area
Room 801-803
4A Biotech Co.,Ltd.
Tel +86 (0512) 65829739 传真 +86 (010) 6788 5057

Quick Overview for ORC4 抗体 (AA 1-436) (ABIN7162269)

抗原

See all ORC4 抗体
ORC4 (Origin Recognition Complex, Subunit 4 (ORC4))

适用

  • 28
  • 14
  • 13
  • 2
  • 2
  • 2
  • 2
  • 2
  • 1
  • 1
  • 1
  • 1

宿主

  • 23
  • 3
  • 2

克隆类型

  • 26
  • 2
多克隆

标记

  • 14
  • 4
  • 2
  • 2
  • 1
  • 1
  • 1
  • 1
  • 1
  • 1
This ORC4 antibody is un-conjugated

应用范围

  • 16
  • 14
  • 4
  • 2
  • 1
  • 1
  • 1
ELISA, Immunohistochemistry (IHC), Immunofluorescence (IF)
  • 抗原表位

    • 7
    • 4
    • 2
    • 1
    • 1
    • 1
    • 1
    • 1
    AA 1-436

    原理

    ORC4 Antibody

    纯化方法

    Protein G purified

    纯度

    >95 %

    免疫原

    Recombinant Human Origin recognition complex subunit 4 protein (1-436AA)

    亚型

    IgG
  • 应用备注

    Optimal working dilution should be determined by the investigator.

    限制

    仅限研究用
  • 状态

    Liquid

    缓冲液

    Preservative: 0.03 % Proclin 300
    Constituents: 50 % Glycerol, 0.01M PBS, PH 7.4

    储存液

    ProClin

    注意事项

    This product contains ProClin: a POISONOUS AND HAZARDOUS SUBSTANCE which should be handled by trained staff only.

    储存条件

    -20 °C,-80 °C

    储存方法

    Upon receipt, store at -20°C or -80°C. Avoid repeated freeze.
  • 抗原

    ORC4 (Origin Recognition Complex, Subunit 4 (ORC4))

    别名

    ORC4

    背景

    Background: Component of the origin recognition complex (ORC) that binds origins of replication. DNA-binding is ATP-dependent. The specific DNA sequences that define origins of replication have not been identified yet. ORC is required to assemble the pre-replication complex necessary to initiate DNA replication. Binds histone H3 and H4 trimethylation marks H3K9me3, H3K27me3 and H4K20me3.

    Aliases: cognition complex, subunit 4, S. cerevisiae, homolog of antibody, FLJ46668 antibody, HSORC4 antibody, ORC 4 antibody, ORC 4L antibody, ORC 4P antibody, ORC4 antibody, ORC4_HUMAN antibody, ORC4L antibody, ORC4L protein antibody, ORC4P antibody, Origin recognition complex subunit 4 (yeast homolog) like antibody, Origin recognition complex subunit 4 antibody, Origin recognition complex subunit 4 like (yeast) antibody, Origin recognition complex subunit 4 like antibody, origin recognition complex, subunit 4 homolog antibody, Origin recognition complex, subunit 4, S. cerevisiae, homolog-like antibody

    UniProt

    O43929

    途径

    Mitotic G1-G1/S Phases, DNA Replication, Synthesis of DNA
You are here: