电话:
+86 (0512) 65829739
传真:
+86 (010) 6788 5057
电子邮件:
orders@antibodies-online.cn

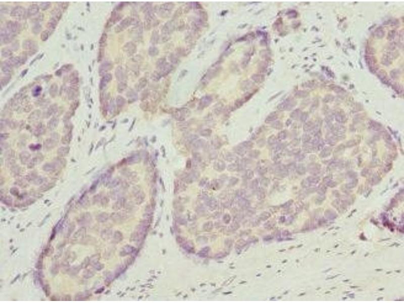
Oligophrenin 1 抗体 (AA 1-270)

The 兔 多克隆 anti-Oligophrenin 1 antibody is suitable to detect Oligophrenin 1 in samples from 人. It has been validated for WB, IHC 和 ELISA.
产品编号 ABIN7162209
发货至: 中国
Contact our Customer Service for availability and price in your country. Contact Info

Our Local Distributor

中国
北京 101111
No. 88 KeChuang 6th Street
Beijing Economic Technological Development Area
Room 801-803
4A Biotech Co.,Ltd.
Tel +86 (0512) 65829739 传真 +86 (010) 6788 5057

Quick Overview for Oligophrenin 1 抗体 (AA 1-270) (ABIN7162209)

抗原

See all Oligophrenin 1 (OPHN1) 抗体
Oligophrenin 1 (OPHN1)

适用

  • 9
  • 5
  • 4

宿主

  • 11
  • 2

克隆类型

  • 11
  • 2
多克隆

标记

  • 13
This Oligophrenin 1 antibody is un-conjugated

应用范围

  • 11
  • 7
  • 6
  • 3
  • 2
Western Blotting (WB), Immunohistochemistry (IHC), ELISA
  • 抗原表位

    • 2
    • 1
    • 1
    • 1
    • 1
    • 1
    AA 1-270

    原理

    OPHN1 Antibody

    纯化方法

    Antigen Affinity Purified

    免疫原

    Recombinant Human Oligophrenin-1 protein (1-270AA)

    亚型

    IgG
  • 应用备注

    Optimal working dilution should be determined by the investigator.

    限制

    仅限研究用
  • 状态

    Liquid

    缓冲液

    PBS with 0.02 % sodium azide, 50 % glycerol, pH 7.3.

    储存液

    Sodium azide

    注意事项

    This product contains Sodium azide: a POISONOUS AND HAZARDOUS SUBSTANCE which should be handled by trained staff only.

    储存条件

    -20 °C,-80 °C

    储存方法

    Upon receipt, store at -20°C or -80°C. Avoid repeated freeze.
  • 抗原

    Oligophrenin 1 (OPHN1)

    别名

    OPHN1

    背景

    Background: Stimulates GTP hydrolysis of members of the Rho family. Its action on RHOA activity and signaling is implicated in growth and stabilization of dendritic spines, and therefore in synaptic function. Critical for the stabilization of AMPA receptors at postsynaptic sites. Critical for the regulation of synaptic vesicle endocytosis at presynaptic terminals. Required for the localization of NR1D1 to dendrites, can suppress its repressor activity and protect it from proteasomal degradation (By similarity).

    Aliases: OPHN1 antibody, Oligophrenin-1 antibody

    UniProt

    O60890
You are here: