电话:
+86 (0512) 65829739
传真:
+86 (010) 6788 5057
电子邮件:
orders@antibodies-online.cn

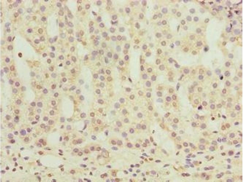
OR2H1 抗体 (AA 157-193)

This 兔 多克隆 antibody specifically detects OR2H1 in ELISA, WB, IHC 和 IF. It exhibits reactivity toward 人.
产品编号 ABIN7162175
发货至: 中国
Contact our Customer Service for availability and price in your country. Contact Info

Our Local Distributor

中国
北京 101111
No. 88 KeChuang 6th Street
Beijing Economic Technological Development Area
Room 801-803
4A Biotech Co.,Ltd.
Tel +86 (0512) 65829739 传真 +86 (010) 6788 5057

Quick Overview for OR2H1 抗体 (AA 157-193) (ABIN7162175)

抗原

See all OR2H1 抗体
OR2H1 (Olfactory Receptor 2H1 (OR2H1))

适用

  • 9
  • 2
  • 1
  • 1
  • 1
  • 1
  • 1
  • 1

宿主

  • 9

克隆类型

  • 9
多克隆

标记

  • 5
  • 2
  • 1
  • 1
This OR2H1 antibody is un-conjugated

应用范围

ELISA, Western Blotting (WB), Immunohistochemistry (IHC), Immunofluorescence (IF)
  • 抗原表位

    • 5
    • 3
    AA 157-193

    原理

    OR2H1 Antibody

    交叉反应

    小鼠

    纯化方法

    Protein G purified

    纯度

    >95 %

    免疫原

    Recombinant Human Olfactory receptor 2H1 protein (157-193AA)

    亚型

    IgG
  • 应用备注

    Optimal working dilution should be determined by the investigator.

    限制

    仅限研究用
  • 状态

    Liquid

    缓冲液

    Preservative: 0.03 % Proclin 300
    Constituents: 50 % Glycerol, 0.01M PBS, PH 7.4

    储存液

    ProClin

    注意事项

    This product contains ProClin: a POISONOUS AND HAZARDOUS SUBSTANCE which should be handled by trained staff only.

    储存条件

    -20 °C,-80 °C

    储存方法

    Upon receipt, store at -20°C or -80°C. Avoid repeated freeze.
  • 抗原

    OR2H1 (Olfactory Receptor 2H1 (OR2H1))

    别名

    OR2H1

    背景

    Background: Odorant receptor.

    Aliases: OR2H1 antibody, OR2H6 antibody, OR2H8 antibody, Olfactory receptor 2H1 antibody, Hs6M1-16 antibody, OLFR42A-9004.14/9026.2 antibody, Olfactory receptor 2H6 antibody, Olfactory receptor 2H8 antibody, Olfactory receptor 6-2 antibody, OR6-2 antibody, Olfactory receptor OR6-32 antibody

    UniProt

    Q9GZK4
You are here: