电话:
+86 (0512) 65829739
传真:
+86 (010) 6788 5057
电子邮件:
orders@antibodies-online.cn

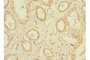
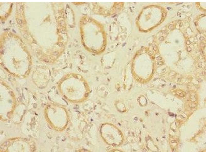
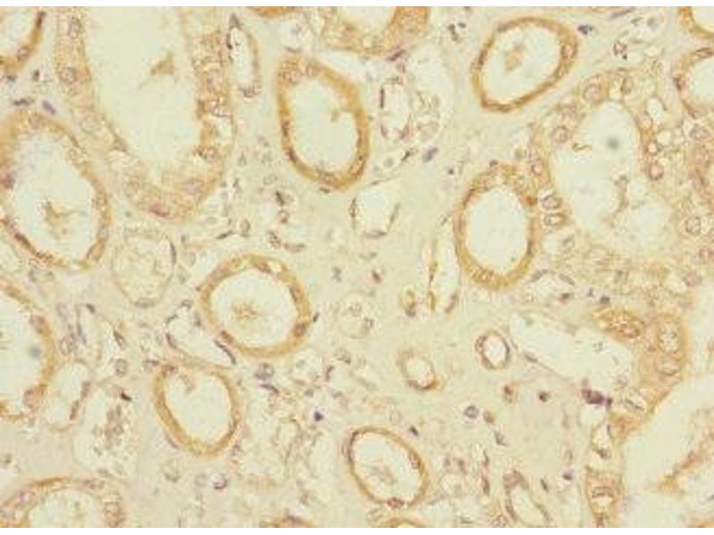
OLFML2A 抗体 (AA 1-300)

The 兔 多克隆 anti-OLFML2A antibody (ABIN7162147) specifically detects OLFML2A in ELISA 和 IHC. The antibody is reactive with 人 samples.
产品编号 ABIN7162147
发货至: 中国
Contact our Customer Service for availability and price in your country. Contact Info

Our Local Distributor

中国
北京 101111
No. 88 KeChuang 6th Street
Beijing Economic Technological Development Area
Room 801-803
4A Biotech Co.,Ltd.
Tel +86 (0512) 65829739 传真 +86 (010) 6788 5057

Quick Overview for OLFML2A 抗体 (AA 1-300) (ABIN7162147)

抗原

OLFML2A (Olfactomedin-Like 2A (OLFML2A))

适用

  • 27
  • 7
  • 5
  • 2
  • 2
  • 2
  • 2
  • 2
  • 2
  • 1
  • 1

宿主

  • 27

克隆类型

  • 27
多克隆

标记

  • 12
  • 3
  • 2
  • 2
  • 1
  • 1
  • 1
  • 1
  • 1
  • 1
  • 1
  • 1
This OLFML2A antibody is un-conjugated

应用范围

  • 17
  • 14
  • 9
  • 4
  • 1
  • 1
ELISA, Immunohistochemistry (IHC)
You are here: