电话:
+86 (0512) 65829739
传真:
+86 (010) 6788 5057
电子邮件:
orders@antibodies-online.cn

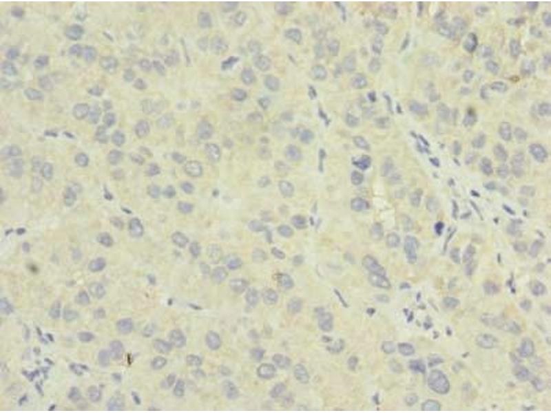
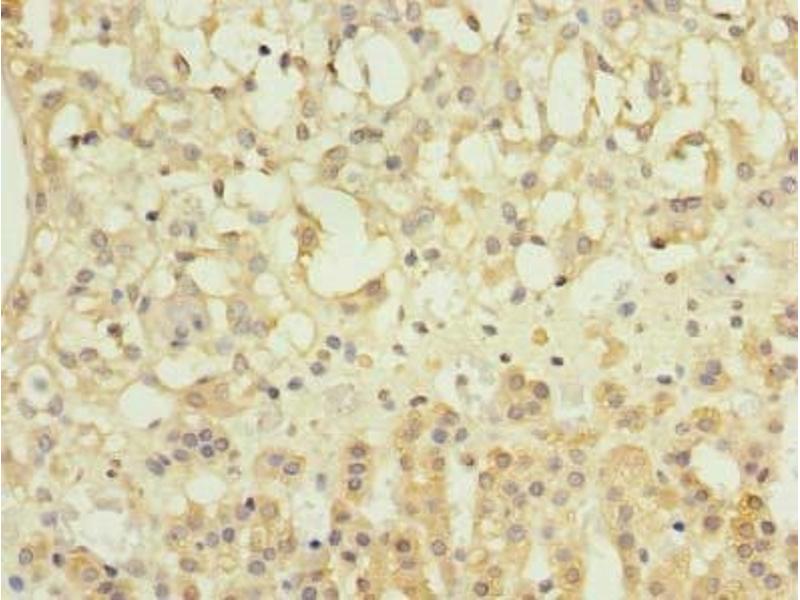
NME7 抗体 (AA 1-150)

The 兔 多克隆 anti-NME7 antibody is suitable to detect NME7 in samples from 人. It has been validated for WB, ELISA 和 IHC.
产品编号 ABIN7162044
发货至: 中国
Contact our Customer Service for availability and price in your country. Contact Info

Our Local Distributor

中国
北京 101111
No. 88 KeChuang 6th Street
Beijing Economic Technological Development Area
Room 801-803
4A Biotech Co.,Ltd.
Tel +86 (0512) 65829739 传真 +86 (010) 6788 5057

Quick Overview for NME7 抗体 (AA 1-150) (ABIN7162044)

抗原

See all NME7 抗体
NME7 (Nucleoside Diphosphate Kinase (NME7))

适用

  • 30
  • 18
  • 5
  • 3
  • 1
  • 1
  • 1
  • 1

宿主

  • 42
  • 6

克隆类型

  • 44
  • 4
多克隆

标记

  • 18
  • 4
  • 4
  • 3
  • 1
  • 1
  • 1
  • 1
  • 1
  • 1
  • 1
  • 1
  • 1
  • 1
  • 1
  • 1
  • 1
  • 1
  • 1
  • 1
  • 1
  • 1
  • 1
This NME7 antibody is un-conjugated

应用范围

  • 33
  • 16
  • 13
  • 13
  • 9
  • 5
  • 3
  • 3
  • 2
  • 2
  • 2
  • 2
  • 2
  • 1
Western Blotting (WB), ELISA, Immunohistochemistry (IHC)
  • 抗原表位

    • 15
    • 7
    • 5
    • 5
    • 3
    • 1
    • 1
    • 1
    AA 1-150

    原理

    NME7 Antibody

    交叉反应

    小鼠

    纯化方法

    Protein G purified

    纯度

    >95 %

    免疫原

    Recombinant Human Nucleoside diphosphate kinase 7 protein (1-150AA)

    亚型

    IgG
  • 应用备注

    Optimal working dilution should be determined by the investigator.

    限制

    仅限研究用
  • 状态

    Liquid

    缓冲液

    Preservative: 0.03 % Proclin 300
    Constituents: 50 % Glycerol, 0.01M PBS, PH 7.4

    储存液

    ProClin

    注意事项

    This product contains ProClin: a POISONOUS AND HAZARDOUS SUBSTANCE which should be handled by trained staff only.

    储存条件

    -20 °C,-80 °C

    储存方法

    Upon receipt, store at -20°C or -80°C. Avoid repeated freeze.
  • 抗原

    NME7 (Nucleoside Diphosphate Kinase (NME7))

    别名

    NME7

    背景

    Background: Major role in the synthesis of nucleoside triphosphates other than ATP. The ATP gamma phosphate is transferred to the NDP beta phosphate via a ping-pong mechanism, using a phosphorylated active-site intermediate.

    Aliases: MN23H7 antibody, NDK 7 antibody, NDK7_HUMAN antibody, NDP kinase 7 antibody, nm23 H7 antibody, nm23-H7 antibody, NME/NM23 family member 7 antibody, Nme7 antibody, Non metastatic cells 7 protein expressed in (nucleoside diphosphate kinase) antibody, Nucleoside diphosphate kinase 7 antibody

    UniProt

    Q9Y5B8
You are here: