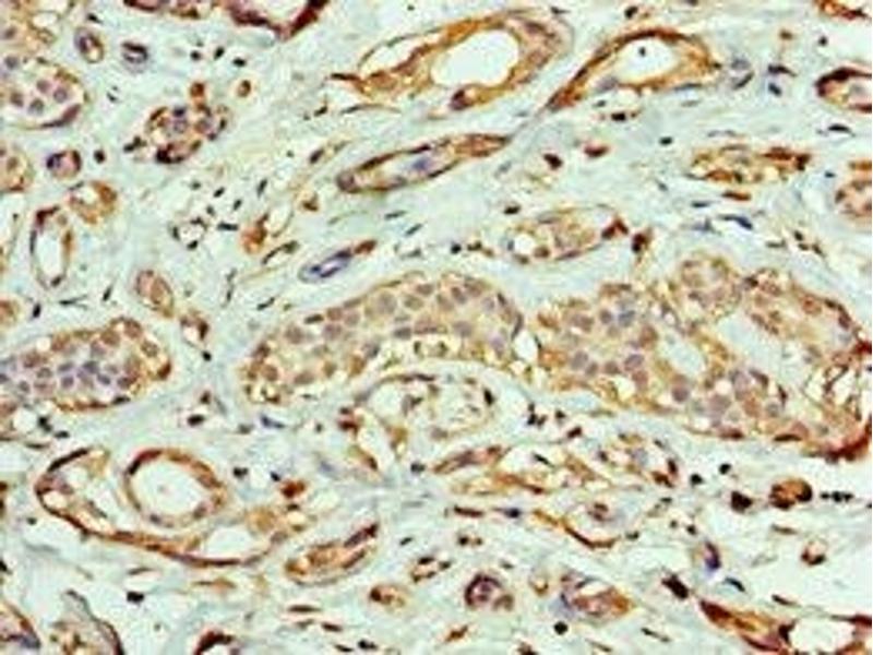
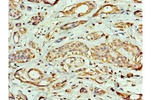
EXOG 抗体 (AA 144-368)
Our Local Distributor
北京 101111
Quick Overview for EXOG 抗体 (AA 144-368) (ABIN7161953)
抗原
See all EXOG 抗体适用
宿主
克隆类型
标记
应用范围
-
-
抗原表位
- AA 144-368
-
原理
- EXOG Antibody
-
纯化方法
- Antigen Affinity Purified
-
免疫原
- Recombinant Human Nuclease EXOG, mitochondrial protein (144-368AA)
-
亚型
- IgG
-
-
-
-
应用备注
- Optimal working dilution should be determined by the investigator.
-
限制
- 仅限研究用
-
-
-
状态
- Liquid
-
缓冲液
- PBS with 0.02 % sodium azide, 50 % glycerol, pH 7.3.
-
储存液
- Sodium azide
-
注意事项
- This product contains Sodium azide: a POISONOUS AND HAZARDOUS SUBSTANCE which should be handled by trained staff only.
-
储存条件
- -20 °C,-80 °C
-
储存方法
- Upon receipt, store at -20°C or -80°C. Avoid repeated freeze.
-
-
- EXOG (Endo/exonuclease (5'-3'), Endonuclease G-Like (EXOG))
-
别名
- EXOG
-
背景
-
Background: Endo/exonuclease with nicking activity towards supercoiled DNA, a preference for single-stranded DNA and 5\\\'-3\\\' exonuclease activity.
Aliases: Endo G like 1 antibody, Endo G-like 1 antibody, Endo/exonuclease (5'-3'), endonuclease G like antibody, ENDOGL 1 antibody, ENDOGL1 antibody, ENDOGL2 antibody, Endonuclease G like 1 antibody, Endonuclease G like 2 antibody, Endonuclease G-like 1 antibody, ENGL a antibody, ENGL antibody, ENGL B antibody, ENGLA antibody, ENGLB antibody, Exog antibody, EXOG_HUMAN antibody, MGC125944 antibody, MGC125945 antibody, mitochondrial antibody, Nuclease EXOG antibody, Nuclease EXOG mitochondrial antibody
-
UniProt
- Q9Y2C4
抗原
-