电话:
+86 (0512) 65829739
传真:
+86 (010) 6788 5057
电子邮件:
orders@antibodies-online.cn

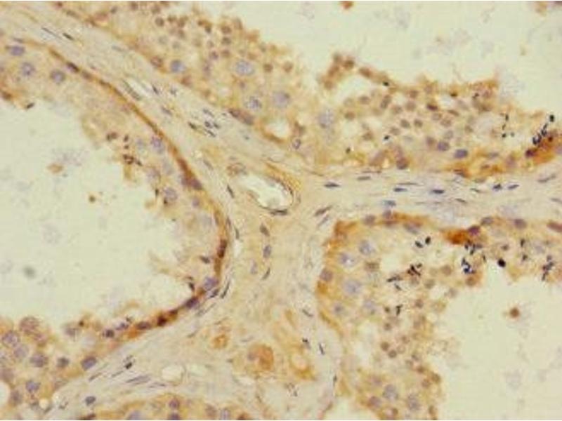
NRBP1 抗体 (AA 406-535)

The 兔 多克隆 anti-NRBP1 antibody (ABIN7161916) specifically detects NRBP1 in IHC 和 ELISA. The antibody is reactive with 人 samples.
产品编号 ABIN7161916
发货至: 中国
Contact our Customer Service for availability and price in your country. Contact Info

Our Local Distributor

中国
北京 101111
No. 88 KeChuang 6th Street
Beijing Economic Technological Development Area
Room 801-803
4A Biotech Co.,Ltd.
Tel +86 (0512) 65829739 传真 +86 (010) 6788 5057

Quick Overview for NRBP1 抗体 (AA 406-535) (ABIN7161916)

抗原

See all NRBP1 抗体
NRBP1 (Nuclear Receptor Binding Protein 1 (NRBP1))

适用

  • 44
  • 18
  • 7
  • 6
  • 4
  • 4
  • 4
  • 4
  • 4
  • 2
  • 2
  • 1
  • 1
  • 1
  • 1

宿主

  • 32
  • 12

克隆类型

  • 34
  • 10
多克隆

标记

  • 34
  • 2
  • 2
  • 2
  • 2
  • 2
This NRBP1 antibody is un-conjugated

应用范围

  • 43
  • 20
  • 15
  • 6
  • 5
  • 4
  • 4
  • 2
  • 1
Immunohistochemistry (IHC), ELISA
  • 抗原表位

    • 8
    • 8
    • 6
    • 4
    • 2
    • 1
    • 1
    • 1
    • 1
    • 1
    • 1
    AA 406-535

    原理

    NRBP1 Antibody

    纯化方法

    Antigen Affinity Purified

    免疫原

    Recombinant Human Nuclear receptor-binding protein (406-535AA)

    亚型

    IgG
  • 应用备注

    Optimal working dilution should be determined by the investigator.

    限制

    仅限研究用
  • 状态

    Liquid

    缓冲液

    PBS with 0.02 % sodium azide, 50 % glycerol, pH 7.3.

    储存液

    Sodium azide

    注意事项

    This product contains Sodium azide: a POISONOUS AND HAZARDOUS SUBSTANCE which should be handled by trained staff only.

    储存条件

    -20 °C,-80 °C

    储存方法

    Upon receipt, store at -20°C or -80°C. Avoid repeated freeze.
  • 抗原

    NRBP1 (Nuclear Receptor Binding Protein 1 (NRBP1))

    别名

    NRBP1

    背景

    Background: May play a role in subcellular trafficking between the endoplasmic reticulum and Golgi apparatus through interactions with the Rho-type GTPases. Binding to the NS3 protein of dengue virus type 2 appears to subvert this activity into the alteration of the intracellular membrane structure associated with flaviviral replication.

    Aliases: BCON3 antibody, MADM antibody, MUDPNP antibody, Multiple domain putative nuclear protein antibody, Myeloid leukemia factor 1 adaptor molecule antibody, NRBP antibody, NRBP_HUMAN antibody, NRBP1 antibody, Nuclear receptor binding protein antibody, Nuclear receptor-binding protein antibody

    UniProt

    Q9UHY1

    途径

    Nuclear Receptor Transcription Pathway
You are here: