电话:
+86 (0512) 65829739
传真:
+86 (010) 6788 5057
电子邮件:
orders@antibodies-online.cn

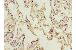
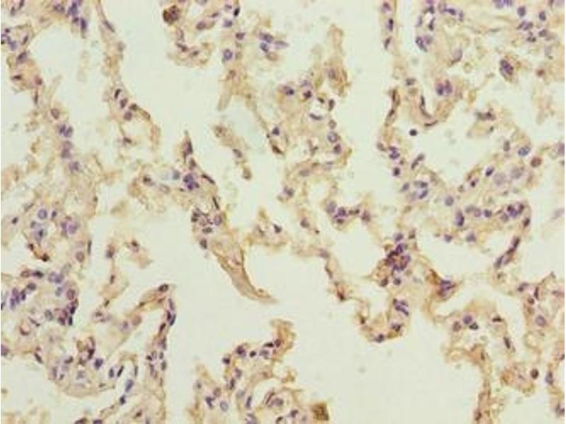
NINJ2 抗体 (AA 17-81)

This 兔 多克隆 antibody specifically detects NINJ2 in ELISA, IHC 和 IF. It exhibits reactivity toward 人.
产品编号 ABIN7161614
发货至: 中国
Contact our Customer Service for availability and price in your country. Contact Info

Our Local Distributor

中国
北京 101111
No. 88 KeChuang 6th Street
Beijing Economic Technological Development Area
Room 801-803
4A Biotech Co.,Ltd.
Tel +86 (0512) 65829739 传真 +86 (010) 6788 5057

Quick Overview for NINJ2 抗体 (AA 17-81) (ABIN7161614)

抗原

See all NINJ2 抗体
NINJ2 (Ninjurin 2 (NINJ2))

适用

  • 12
  • 3
  • 2

宿主

  • 6
  • 6
  • 1

克隆类型

  • 10
  • 3
多克隆

标记

  • 9
  • 2
  • 1
  • 1
This NINJ2 antibody is un-conjugated

应用范围

ELISA, Immunohistochemistry (IHC), Immunofluorescence (IF)
  • 抗原表位

    • 4
    • 1
    • 1
    • 1
    • 1
    • 1
    AA 17-81

    原理

    NINJ2 Antibody

    纯化方法

    Protein G purified

    纯度

    >95 %

    免疫原

    Recombinant Human Ninjurin-2 protein (17-81AA)

    亚型

    IgG
  • 应用备注

    Optimal working dilution should be determined by the investigator.

    限制

    仅限研究用
  • 状态

    Liquid

    缓冲液

    Preservative: 0.03 % Proclin 300
    Constituents: 50 % Glycerol, 0.01M PBS, PH 7.4

    储存液

    ProClin

    注意事项

    This product contains ProClin: a POISONOUS AND HAZARDOUS SUBSTANCE which should be handled by trained staff only.

    储存条件

    -20 °C,-80 °C

    储存方法

    Upon receipt, store at -20°C or -80°C. Avoid repeated freeze.
  • 抗原

    NINJ2 (Ninjurin 2 (NINJ2))

    别名

    NINJ2

    背景

    Background: Homophilic cell adhesion molecule that promotes axonal growth. May play a role in nerve regeneration and in the formation and function of other tissues.

    Aliases: Nerve injury induced protein 2 antibody, Nerve injury-induced protein 2 antibody, NINJ2 antibody, NINJ2_HUMAN antibody, Ninjurin-2 antibody

    UniProt

    Q9NZG7
You are here: