电话:
+86 (0512) 65829739
传真:
+86 (010) 6788 5057
电子邮件:
orders@antibodies-online.cn

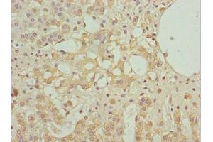
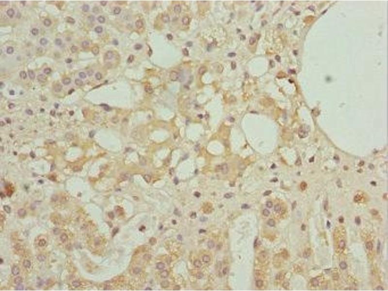
NINL 抗体 (AA 1-190)

This 兔 多克隆 antibody specifically detects NINL in ELISA 和 IHC. It exhibits reactivity toward 人.
产品编号 ABIN7161608
发货至: 中国
Contact our Customer Service for availability and price in your country. Contact Info

Our Local Distributor

中国
北京 101111
No. 88 KeChuang 6th Street
Beijing Economic Technological Development Area
Room 801-803
4A Biotech Co.,Ltd.
Tel +86 (0512) 65829739 传真 +86 (010) 6788 5057

Quick Overview for NINL 抗体 (AA 1-190) (ABIN7161608)

抗原

See all NINL 抗体
NINL (Ninein-Like (NINL))

适用

  • 3
  • 2
  • 1
  • 1
  • 1
  • 1
  • 1
  • 1
  • 1

宿主

  • 3

克隆类型

  • 3
多克隆

标记

  • 3
This NINL antibody is un-conjugated

应用范围

ELISA, Immunohistochemistry (IHC)
  • 抗原表位

    • 1
    • 1
    AA 1-190

    原理

    NINL Antibody

    纯化方法

    Antigen Affinity Purified

    免疫原

    Recombinant Human Ninein-like protein (1-190AA)

    亚型

    IgG
  • 应用备注

    Optimal working dilution should be determined by the investigator.

    限制

    仅限研究用
  • 状态

    Liquid

    缓冲液

    PBS with 0.02 % sodium azide, 50 % glycerol, pH 7.3.

    储存液

    Sodium azide

    注意事项

    This product contains Sodium azide: a POISONOUS AND HAZARDOUS SUBSTANCE which should be handled by trained staff only.

    储存条件

    -20 °C,-80 °C

    储存方法

    Upon receipt, store at -20°C or -80°C. Avoid repeated freeze.
  • 抗原

    NINL (Ninein-Like (NINL))

    别名

    NINL

    背景

    Background: Involved in the microtubule organization in interphase cells. Overexpression induces the fragmentation of the Golgi, and causes lysosomes to disperse toward the cell periphery, it also interferes with mitotic spindle assembly. May play a role in ovarian carcinogenesis.

    Aliases: NINL antibody, KIAA0980 antibody, NLP antibody, Ninein-like protein antibody

    UniProt

    Q9Y2I6

    途径

    M Phase, SARS-CoV-2 Protein Interactome
You are here: