电话:
+86 (0512) 65829739
传真:
+86 (010) 6788 5057
电子邮件:
orders@antibodies-online.cn

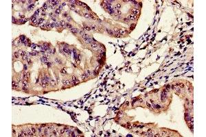
SYNE2 抗体 (AA 1-176)

This 兔 多克隆 antibody specifically detects SYNE2 in ELISA, IHC 和 IF. It exhibits reactivity toward 人.
产品编号 ABIN7161170
发货至: 中国
Contact our Customer Service for availability and price in your country. Contact Info

Our Local Distributor

中国
北京 101111
No. 88 KeChuang 6th Street
Beijing Economic Technological Development Area
Room 801-803
4A Biotech Co.,Ltd.
Tel +86 (0512) 65829739 传真 +86 (010) 6788 5057

Quick Overview for SYNE2 抗体 (AA 1-176) (ABIN7161170)

抗原

See all SYNE2 抗体
SYNE2 (Spectrin Repeat Containing, Nuclear Envelope 2 (SYNE2))

适用

  • 20
  • 5
  • 1
  • 1

宿主

  • 19
  • 3

克隆类型

  • 19
  • 2
  • 1
多克隆

标记

  • 18
  • 2
  • 1
  • 1
This SYNE2 antibody is un-conjugated

应用范围

  • 14
  • 8
  • 5
  • 5
  • 4
  • 4
  • 4
  • 1
  • 1
  • 1
ELISA, Immunohistochemistry (IHC), Immunofluorescence (IF)
  • 抗原表位

    • 4
    • 2
    • 2
    • 2
    • 1
    • 1
    • 1
    • 1
    • 1
    • 1
    • 1
    • 1
    AA 1-176

    原理

    SYNE2 Antibody

    纯化方法

    Protein G purified

    纯度

    >95 %

    免疫原

    Recombinant Human Nesprin-2 protein (1-176AA)

    亚型

    IgG
  • 应用备注

    Optimal working dilution should be determined by the investigator.

    限制

    仅限研究用
  • 状态

    Liquid

    缓冲液

    Preservative: 0.03 % Proclin 300
    Constituents: 50 % Glycerol, 0.01M PBS, pH 7.4

    储存液

    ProClin

    注意事项

    This product contains ProClin: a POISONOUS AND HAZARDOUS SUBSTANCE which should be handled by trained staff only.

    储存条件

    -20 °C,-80 °C

    储存方法

    Upon receipt, store at -20°C or -80°C. Avoid repeated freeze.
  • 抗原

    SYNE2 (Spectrin Repeat Containing, Nuclear Envelope 2 (SYNE2))

    别名

    SYNE2

    背景

    Background: Multi-isomeric modular protein which forms a linking network between organelles and the actin cytoskeleton to maintain the subcellular spatial organization. As a component of the LINC (LInker of Nucleoskeleton and Cytoskeleton) complex involved in the connection between the nuclear lamina and the cytoskeleton. The nucleocytoplasmic interactions established by the LINC complex play an important role in the transmission of mechanical forces across the nuclear envelope and in nuclear movement and positioning. Specifically, SYNE2 and SUN2 assemble in arrays of transmembrane actin-associated nuclear (TAN) lines which are bound to F-actin cables and couple the nucleus to retrograde actin flow during actin-dependent nuclear movement. May be involved in nucleus-centrososme attachment. During interkinetic nuclear migration (INM) at G2 phase and nuclear migration in neural progenitors its LINC complex association with SUN1/2 and probable association with cytoplasmic dynein-dynactin motor complexes functions to pull the nucleus toward the centrosome, SYNE1 and SYNE2 may act redundantly. During INM at G1 phase mediates respective LINC complex association with kinesin to push the nucleus away from the centrosome. Involved in nuclear migration in retinal photoreceptor progenitors. Required for centrosome migration to the apical cell surface during early ciliogenesis.

    Aliases: DKFZP434H2235 antibody, DKFZp686E01115 antibody, DKFZp686H1931 antibody, FLJ11014 antibody, FLJ43727 antibody, FLJ45710 antibody, FLJ46790 antibody, KIAA1011 antibody, Nesprin-2 antibody, Nesprin2 antibody, NUA antibody, NUANCE antibody, Nuclear envelope spectrin repeat protein 2 antibody, Nucleus and actin connecting element antibody, Nucleus and actin connecting element protein antibody, Protein NUANCE antibody, Spectrin repeat containing nuclear envelope 2 antibody, Synaptic nuclear envelope protein 2 antibody, Synaptic nuclei expressed gene 2 antibody, SYNE 2 antibody, Syne-2 antibody, SYNE2 antibody, SYNE2_HUMAN antibody

    UniProt

    Q8WXH0

    途径

    Maintenance of Protein Location
You are here: