电话:
+86 (0512) 65829739
传真:
+86 (010) 6788 5057
电子邮件:
orders@antibodies-online.cn

UBA3 抗体 (Catalytic Subunit)

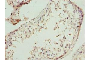
The 兔 多克隆 anti-UBA3 antibody (ABIN7161136) specifically detects UBA3 in IHC 和 ELISA. The antibody is reactive with 人 samples.
产品编号 ABIN7161136
发货至: 中国
Contact our Customer Service for availability and price in your country. Contact Info

Our Local Distributor

中国
北京 101111
No. 88 KeChuang 6th Street
Beijing Economic Technological Development Area
Room 801-803
4A Biotech Co.,Ltd.
Tel +86 (0512) 65829739 传真 +86 (010) 6788 5057

Quick Overview for UBA3 抗体 (Catalytic Subunit) (ABIN7161136)

抗原

See all UBA3 抗体
UBA3 (Ubiquitin-Like Modifier Activating Enzyme 3 (UBA3))

适用

  • 29
  • 24
  • 15
  • 4
  • 3
  • 3
  • 2
  • 2
  • 2
  • 2
  • 1
  • 1
  • 1
  • 1

宿主

  • 30

克隆类型

  • 27
  • 3
多克隆

标记

  • 18
  • 2
  • 1
  • 1
  • 1
  • 1
  • 1
  • 1
  • 1
  • 1
  • 1
  • 1
This UBA3 antibody is un-conjugated

应用范围

  • 22
  • 13
  • 8
  • 3
  • 1
  • 1
  • 1
  • 1
Immunohistochemistry (IHC), ELISA
  • 抗原表位

    • 8
    • 4
    • 2
    • 1
    • 1
    • 1
    • 1
    • 1
    AA 234-463, Catalytic Subunit

    原理

    UBA3 Antibody

    纯化方法

    Antigen Affinity Purified

    免疫原

    Recombinant Human NEDD8-activating enzyme E1 catalytic subunit protein (234-463AA)

    亚型

    IgG
  • 应用备注

    Optimal working dilution should be determined by the investigator.

    限制

    仅限研究用
  • 状态

    Liquid

    缓冲液

    PBS with 0.02 % sodium azide, 50 % glycerol, pH 7.3.

    储存液

    Sodium azide

    注意事项

    This product contains Sodium azide: a POISONOUS AND HAZARDOUS SUBSTANCE which should be handled by trained staff only.

    储存条件

    -20 °C,-80 °C

    储存方法

    Upon receipt, store at -20°C or -80°C. Avoid repeated freeze.
  • 抗原

    UBA3 (Ubiquitin-Like Modifier Activating Enzyme 3 (UBA3))

    别名

    UBA3

    背景

    Background: Catalytic subunit of the dimeric UBA3-NAE1 E1 enzyme. E1 activates NEDD8 by first adenylating its C-terminal glycine residue with ATP, thereafter linking this residue to the side chain of the catalytic cysteine, yielding a NEDD8-UBA3 thioester and free AMP. E1 finally transfers NEDD8 to the catalytic cysteine of UBE2M. Down-regulates steroid receptor activity. Necessary for cell cycle progression.

    Aliases: DKFZp566J164 antibody, EC 6.3.2. antibody, hUba3 antibody, MGC22384 antibody, NEDD8 activating enzyme E1 catalytic subunit antibody, NEDD8 activating enzyme E1C antibody, Nedd8 activating enzyme hUba3 antibody, NEDD8-activating enzyme E1 catalytic subunit antibody, NEDD8-activating enzyme E1C antibody, uba3 antibody, UBA3 ubiquitin activating enzyme E1 homolog antibody, UBA3_HUMAN antibody, UBE1C antibody, Ubiquitin activating enzyme 3 antibody, Ubiquitin activating enzyme E1C antibody, Ubiquitin-activating enzyme 3 antibody, Ubiquitin-activating enzyme E1C antibody, Ubiquitin-like modifier-activating enzyme 3 antibody

    UniProt

    Q8TBC4
You are here: