电话:
+86 (0512) 65829739
传真:
+86 (010) 6788 5057
电子邮件:
orders@antibodies-online.cn

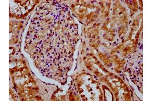
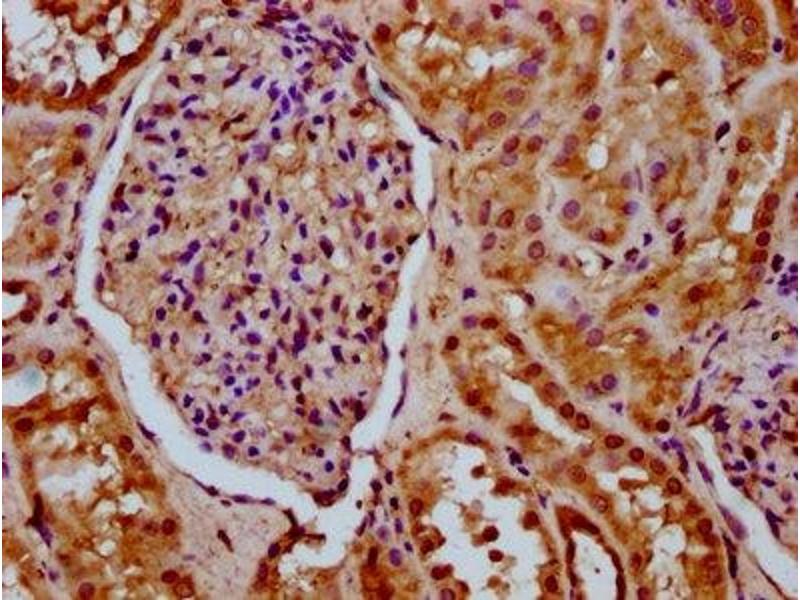
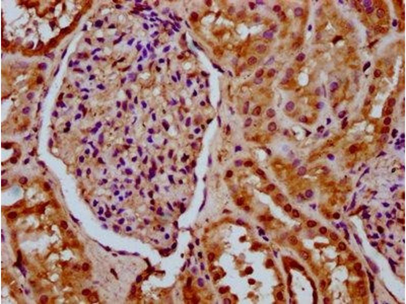
SETD6 抗体 (AA 1-74)

The 兔 多克隆 anti-SETD6 antibody (ABIN7160770) specifically detects SETD6 in ELISA 和 IHC. The antibody is reactive with 人 samples.
产品编号 ABIN7160770
发货至: 中国
Contact our Customer Service for availability and price in your country. Contact Info

Our Local Distributor

中国
北京 101111
No. 88 KeChuang 6th Street
Beijing Economic Technological Development Area
Room 801-803
4A Biotech Co.,Ltd.
Tel +86 (0512) 65829739 传真 +86 (010) 6788 5057

Quick Overview for SETD6 抗体 (AA 1-74) (ABIN7160770)

抗原

See all SETD6 抗体
SETD6 (SET Domain Containing 6 (SETD6))

适用

  • 27
  • 11
  • 10
  • 2
  • 2

宿主

  • 26
  • 1

克隆类型

  • 26
  • 1
多克隆

标记

  • 12
  • 3
  • 2
  • 2
  • 1
  • 1
  • 1
  • 1
  • 1
  • 1
  • 1
  • 1
This SETD6 antibody is un-conjugated

应用范围

  • 16
  • 10
  • 8
  • 2
  • 2
ELISA, Immunohistochemistry (IHC)
  • 抗原表位

    • 7
    • 3
    • 2
    • 1
    • 1
    • 1
    • 1
    AA 1-74

    原理

    SETD6 Antibody

    纯化方法

    Protein G purified

    纯度

    >95 %

    免疫原

    Recombinant Human N-lysine methyltransferase SETD6 protein (1-74AA)

    亚型

    IgG
  • 应用备注

    Optimal working dilution should be determined by the investigator.

    限制

    仅限研究用
  • 状态

    Liquid

    缓冲液

    Preservative: 0.03 % Proclin 300
    Constituents: 50 % Glycerol, 0.01M PBS, pH 7.4

    储存液

    ProClin

    注意事项

    This product contains ProClin: a POISONOUS AND HAZARDOUS SUBSTANCE which should be handled by trained staff only.

    储存条件

    -20 °C,-80 °C

    储存方法

    Upon receipt, store at -20°C or -80°C. Avoid repeated freeze.
  • 抗原

    SETD6 (SET Domain Containing 6 (SETD6))

    别名

    SETD6

    背景

    Background: Protein-lysine N-methyltransferase. Monomethylates \\\'Lys-310\\\' of the RELA subunit of NF-kappa-B complex, leading to down-regulate NF-kappa-B transcription factor activity (PubMed:21131967). Monomethylates \\\'Lys-8\\\' of H2AZ (H2AZK8me1) (PubMed:23324626). Required for the maintenance of embryonic stem cell self-renewal (By similarity).

    Aliases: SETD6 antibody, N-lysine methyltransferase SETD6 antibody, EC 2.1.1.- antibody, SET domain-containing protein 6 antibody

    UniProt

    Q8TBK2
You are here: