电话:
+86 (0512) 65829739
传真:
+86 (010) 6788 5057
电子邮件:
orders@antibodies-online.cn

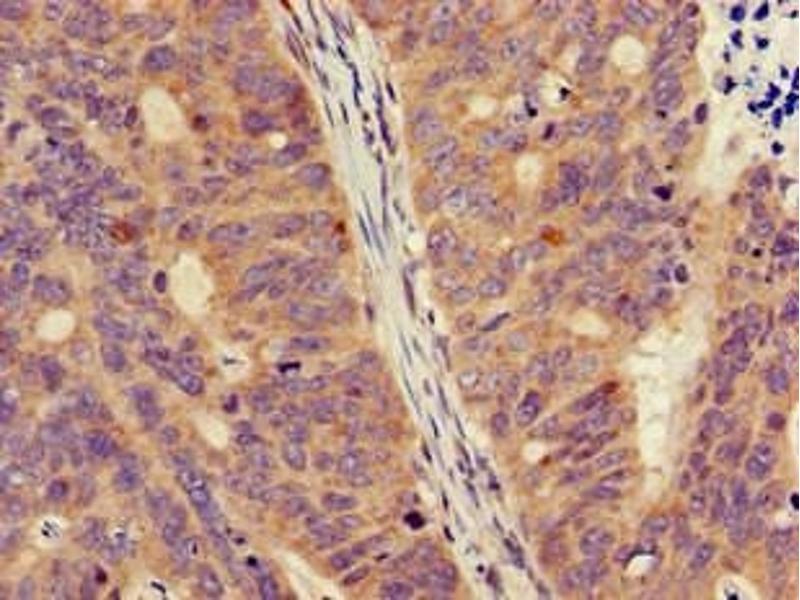
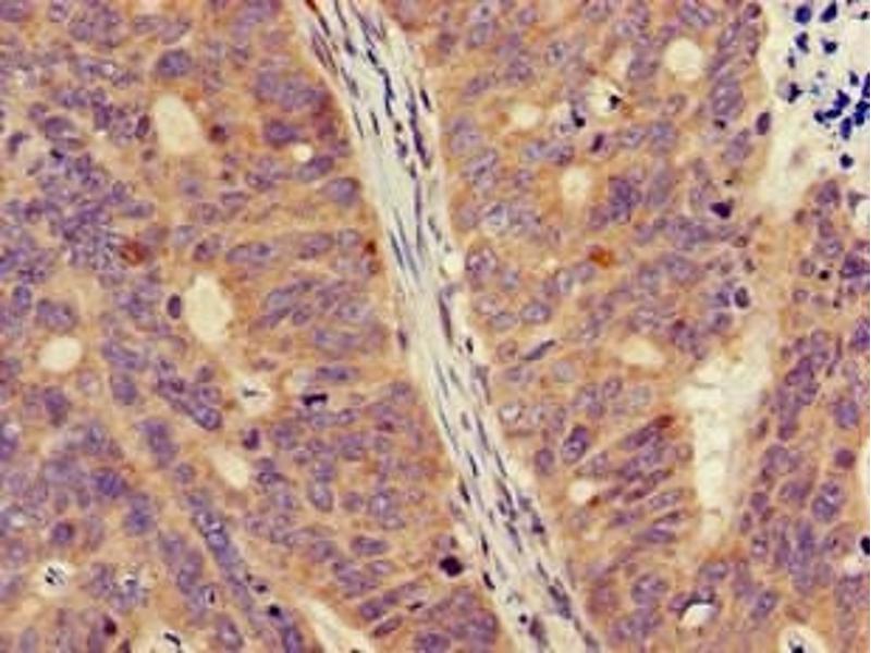
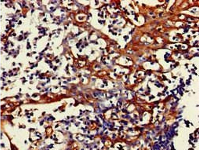
FPR3 抗体 (AA 307-353)

The 兔 多克隆 anti-FPR3 antibody (ABIN7160758) specifically detects FPR3 in ELISA, IF 和 IHC. The antibody is reactive with 人 samples.
产品编号 ABIN7160758
发货至: 中国
Contact our Customer Service for availability and price in your country. Contact Info

Our Local Distributor

中国
北京 101111
No. 88 KeChuang 6th Street
Beijing Economic Technological Development Area
Room 801-803
4A Biotech Co.,Ltd.
Tel +86 (0512) 65829739 传真 +86 (010) 6788 5057

Quick Overview for FPR3 抗体 (AA 307-353) (ABIN7160758)

抗原

See all FPR3 抗体
FPR3 (Formyl Peptide Receptor 3 (FPR3))

适用

  • 39
  • 2

宿主

  • 36
  • 2
  • 1

克隆类型

  • 37
  • 2
多克隆

标记

  • 19
  • 4
  • 3
  • 3
  • 2
  • 2
  • 1
  • 1
  • 1
  • 1
  • 1
  • 1
This FPR3 antibody is un-conjugated

应用范围

  • 23
  • 18
  • 11
  • 10
  • 10
  • 4
  • 2
  • 1
  • 1
ELISA, Immunofluorescence (IF), Immunohistochemistry (IHC)
  • 抗原表位

    • 8
    • 7
    • 5
    • 4
    • 3
    • 2
    • 2
    • 1
    • 1
    • 1
    • 1
    • 1
    AA 307-353

    原理

    FPR3 Antibody

    纯化方法

    Protein G purified

    纯度

    >95 %

    免疫原

    Recombinant Human N-formyl peptide receptor 3 protein (307-353AA)

    亚型

    IgG
  • 应用备注

    Optimal working dilution should be determined by the investigator.

    限制

    仅限研究用
  • 状态

    Liquid

    缓冲液

    Preservative: 0.03 % Proclin 300
    Constituents: 50 % Glycerol, 0.01M PBS, pH 7.4

    储存液

    ProClin

    注意事项

    This product contains ProClin: a POISONOUS AND HAZARDOUS SUBSTANCE which should be handled by trained staff only.

    储存条件

    -20 °C,-80 °C

    储存方法

    Upon receipt, store at -20°C or -80°C. Avoid repeated freeze.
  • 抗原

    FPR3 (Formyl Peptide Receptor 3 (FPR3))

    别名

    FPR3

    背景

    Background: Low affinity receptor for N-formyl-methionyl peptides, which are powerful neutrophils chemotactic factors. Binding of FMLP to the receptor causes activation of neutrophils. This response is mediated via a G-protein that activates a phosphatidylinositol-calcium second messenger system.

    Aliases: FML2_HUMAN antibody, FMLP related receptor II antibody, FMLP-R-II antibody, FMLP-related receptor II antibody, FMLPY antibody, Formyl peptide receptor 3 antibody, Formyl peptide receptor like 2 antibody, Formyl peptide receptor-like 2 antibody, FPR3 antibody, FPR3_HUMAN antibody, FPRH1 antibody, FPRH2 antibody, FPRL2 antibody, Lipoxin A4 receptor antibody, LXA4 R antibody, Lxa4r antibody, N formyl peptide receptor 3 antibody, N-formyl peptide receptor 3 antibody, RGD1566044 antibody, RMLP-R-I antibody

    UniProt

    P25089
You are here: