电话:
+86 (0512) 65829739
传真:
+86 (010) 6788 5057
电子邮件:
orders@antibodies-online.cn

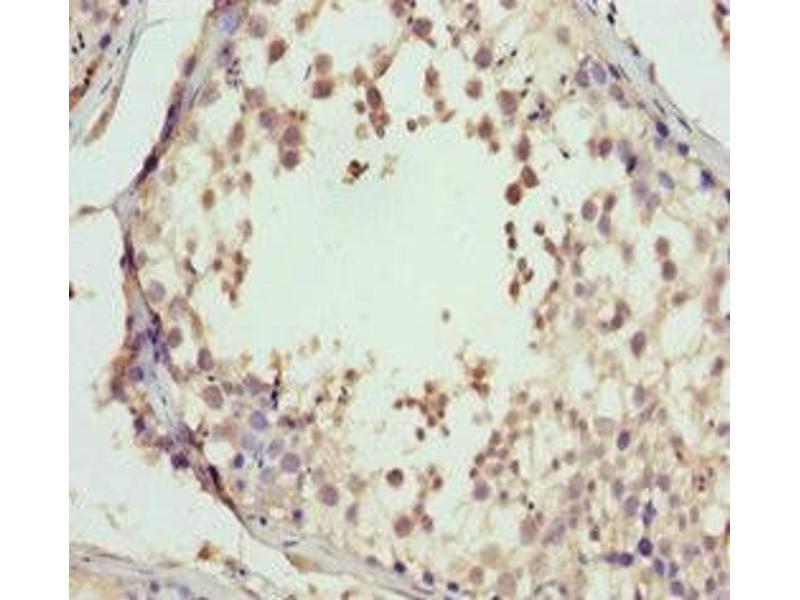
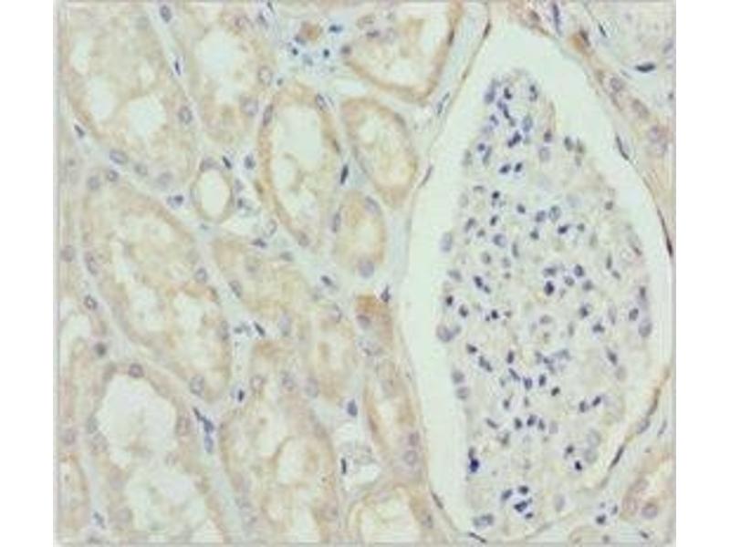
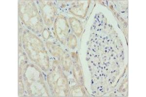
GNS 抗体 (AA 293-552)

The 兔 多克隆 anti-GNS antibody is suitable to detect GNS in samples from 人. It has been validated for ELISA 和 IHC.
产品编号 ABIN7160688
发货至: 中国
Contact our Customer Service for availability and price in your country. Contact Info

Our Local Distributor

中国
北京 101111
No. 88 KeChuang 6th Street
Beijing Economic Technological Development Area
Room 801-803
4A Biotech Co.,Ltd.
Tel +86 (0512) 65829739 传真 +86 (010) 6788 5057

Quick Overview for GNS 抗体 (AA 293-552) (ABIN7160688)

抗原

See all GNS 抗体
GNS (Glucosamine (N-Acetyl)-6-Sulfatase (GNS))

适用

  • 34
  • 9
  • 6
  • 3
  • 3
  • 3
  • 3
  • 3
  • 3
  • 2
  • 2
  • 2
  • 1

宿主

  • 32
  • 3
  • 1

克隆类型

  • 35
  • 1
多克隆

标记

  • 22
  • 1
  • 1
  • 1
  • 1
  • 1
  • 1
  • 1
  • 1
  • 1
  • 1
  • 1
  • 1
  • 1
  • 1
This GNS antibody is un-conjugated

应用范围

  • 19
  • 13
  • 13
  • 11
  • 6
  • 5
  • 4
  • 2
  • 2
  • 2
  • 1
  • 1
ELISA, Immunohistochemistry (IHC)
  • 抗原表位

    • 15
    • 3
    • 2
    • 2
    • 2
    • 1
    • 1
    • 1
    • 1
    • 1
    • 1
    • 1
    • 1
    AA 293-552

    原理

    GNS Antibody

    纯化方法

    Antigen Affinity Purified

    免疫原

    Recombinant Human N-acetylglucosamine-6-sulfatase protein (293-552AA)

    亚型

    IgG
  • 应用备注

    Optimal working dilution should be determined by the investigator.

    限制

    仅限研究用
  • 状态

    Liquid

    缓冲液

    PBS with 0.02 % sodium azide, 50 % glycerol, pH 7.3.

    储存液

    Sodium azide

    注意事项

    This product contains Sodium azide: a POISONOUS AND HAZARDOUS SUBSTANCE which should be handled by trained staff only.

    储存条件

    -20 °C,-80 °C

    储存方法

    Upon receipt, store at -20°C or -80°C. Avoid repeated freeze.
  • 抗原

    GNS (Glucosamine (N-Acetyl)-6-Sulfatase (GNS))

    别名

    GNS

    背景

    Background: extracellular exosome, lysosomal lumen, N-acetylglucosamine-6-sulfatase activity, sulfuric ester hydrolase activity, glycosaminoglycan catabolic process, keratan sulfate catabolic process

    Aliases: 2610016K11Rik antibody, AU042285 antibody, C87209 antibody, G6S antibody, Glucosamine (N-acetyl) 6 sulfatase antibody, Glucosamine 6 sulfatase antibody, Glucosamine-6-sulfatase antibody, GNS antibody, GNS_HUMAN antibody, MGC21274 antibody, N acetylglucosamine 6 sulfatase [Precursor] antibody, N-acetylglucosamine-6-sulfatase antibody, N28088 antibody

    UniProt

    P15586

    途径

    Glycosaminoglycan Metabolic Process
You are here: