电话:
+86 (0512) 65829739
传真:
+86 (010) 6788 5057
电子邮件:
orders@antibodies-online.cn

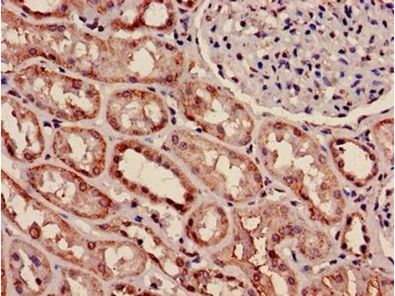
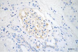
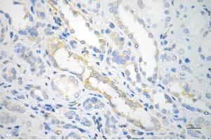
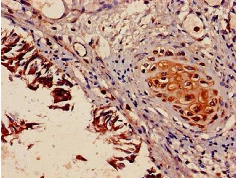
Myosin 9 抗体 (AA 2-241)

The 兔 多克隆 anti-Myosin 9 antibody (ABIN7160596) specifically detects Myosin 9 in ELISA, IHC 和 IF. The antibody is reactive with 人 samples.
产品编号 ABIN7160596
发货至: 中国
Contact our Customer Service for availability and price in your country. Contact Info

Our Local Distributor

中国
北京 101111
No. 88 KeChuang 6th Street
Beijing Economic Technological Development Area
Room 801-803
4A Biotech Co.,Ltd.
Tel +86 (0512) 65829739 传真 +86 (010) 6788 5057

Quick Overview for Myosin 9 抗体 (AA 2-241) (ABIN7160596)

抗原

See all Myosin 9 (MYH9) 抗体
Myosin 9 (MYH9)

适用

  • 77
  • 23
  • 17
  • 3
  • 2
  • 2
  • 1
  • 1
  • 1
  • 1

宿主

  • 61
  • 14
  • 2
  • 1
  • 1

克隆类型

  • 52
  • 27
多克隆

标记

  • 44
  • 6
  • 5
  • 5
  • 2
  • 2
  • 2
  • 2
  • 2
  • 2
  • 2
  • 2
  • 1
  • 1
  • 1
This Myosin 9 antibody is un-conjugated

应用范围

  • 59
  • 38
  • 26
  • 18
  • 13
  • 11
  • 9
  • 6
  • 4
  • 2
  • 2
  • 1
  • 1
ELISA, Immunohistochemistry (IHC), Immunofluorescence (IF)
  • 抗原表位

    • 8
    • 7
    • 5
    • 4
    • 4
    • 3
    • 2
    • 2
    • 1
    • 1
    • 1
    • 1
    • 1
    • 1
    • 1
    • 1
    • 1
    • 1
    • 1
    AA 2-241

    原理

    MYH9 Antibody

    纯化方法

    Protein G purified

    纯度

    >95 %

    免疫原

    Recombinant Human Myosin-9 protein (2-241AA)

    亚型

    IgG
  • 应用备注

    Optimal working dilution should be determined by the investigator.

    限制

    仅限研究用
  • 状态

    Liquid

    缓冲液

    Preservative: 0.03 % Proclin 300
    Constituents: 50 % Glycerol, 0.01M PBS, PH 7.4

    储存液

    ProClin

    注意事项

    This product contains ProClin: a POISONOUS AND HAZARDOUS SUBSTANCE which should be handled by trained staff only.

    储存条件

    -20 °C,-80 °C

    储存方法

    Upon receipt, store at -20°C or -80°C. Avoid repeated freeze.
  • 抗原

    Myosin 9 (MYH9)

    别名

    MYH9

    背景

    BDPLT 6 antibody, BDPLT6 antibody, Cellular myosin heavy chain antibody, Cellular myosin heavy chain type A antibody, DFNA 17 antibody, DFNA17 antibody, EPSTS antibody, FTNS antibody, MGC104539 antibody, MHA antibody, MYH 2A antibody, MYH 9 antibody, MYH2A antibody, MYH9 antibody, MYH9_HUMAN antibody, MYHas8 antibody, MyHC 2A antibody, MyHC IIa antibody, MyHC2A antibody, MyHCIIa antibody, MYHSA 2 antibody, MYHSA2 antibody, Myosin 9 antibody, Myosin heavy chain 9 antibody, Myosin heavy chain 9 non muscle antibody, Myosin heavy chain antibody, Myosin heavy chain non muscle IIa antibody, Myosin heavy chain nonmuscle IIa antibody, Myosin heavy polypeptide 2 antibody, Myosin heavy polypeptide 9 non muscle antibody, Myosin-9 antibody, Myosin9 antibody, NMHC II A antibody, NMMHC A antibody, NMMHC II a antibody, NMMHC II-a antibody, NMMHC IIA antibody, NMMHC-A antibody, NMMHC-IIA antibody, NMMHCA antibody, Non muscle myosin heavy chain A antibody, Non muscle myosin heavy chain antibody, Non muscle myosin heavy chain II A antibody, Non muscle myosin heavy polypeptide 9 antibody, non-muscle IIa antibody, Non-muscle myosin heavy chain A antibody, Non-muscle myosin heavy chain IIa antibody, Nonmuscle myosin heavy chain A antibody, Nonmuscle myosin heavy chain II A antibody, type A antibody

    UniProt

    P35579

    途径

    Regulation of G-Protein Coupled Receptor Protein Signaling, Integrin Complex
You are here: