电话:
+86 (0512) 65829739
传真:
+86 (010) 6788 5057
电子邮件:
orders@antibodies-online.cn

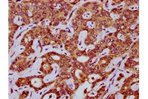
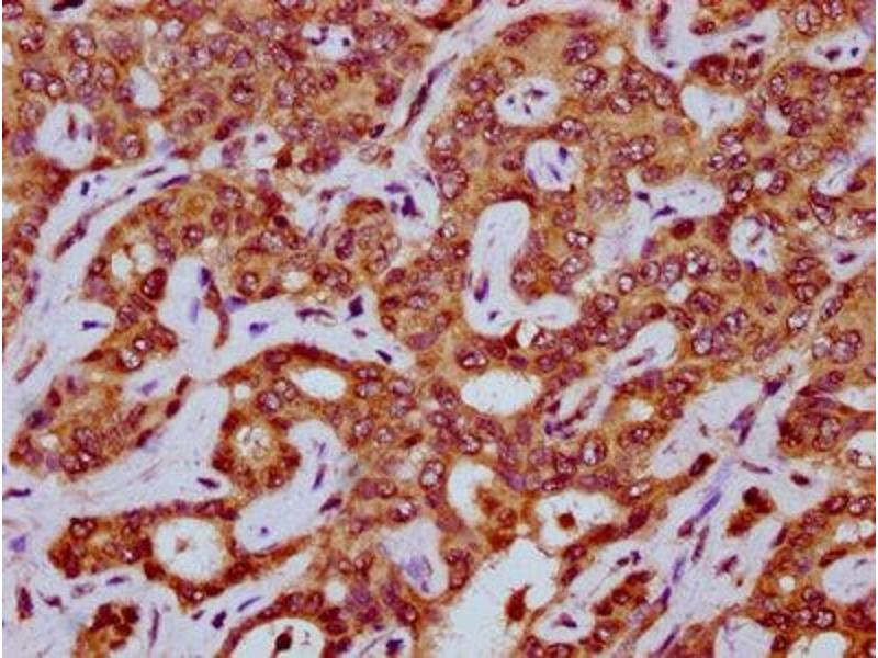
MEGF8 抗体 (AA 495-663)

The 兔 多克隆 anti-MEGF8 antibody (ABIN7160335) specifically detects MEGF8 in ELISA, IHC 和 IF. The antibody is reactive with 人 samples.
产品编号 ABIN7160335
发货至: 中国
Contact our Customer Service for availability and price in your country. Contact Info

Our Local Distributor

中国
北京 101111
No. 88 KeChuang 6th Street
Beijing Economic Technological Development Area
Room 801-803
4A Biotech Co.,Ltd.
Tel +86 (0512) 65829739 传真 +86 (010) 6788 5057

Quick Overview for MEGF8 抗体 (AA 495-663) (ABIN7160335)

抗原

See all MEGF8 抗体
MEGF8 (Multiple EGF-Like-Domains 8 (MEGF8))

适用

  • 17
  • 2
  • 1

宿主

  • 16
  • 1

克隆类型

  • 16
  • 1
多克隆

标记

  • 8
  • 1
  • 1
  • 1
  • 1
  • 1
  • 1
  • 1
  • 1
  • 1
This MEGF8 antibody is un-conjugated

应用范围

  • 8
  • 7
  • 3
  • 2
  • 2
  • 1
ELISA, Immunohistochemistry (IHC), Immunofluorescence (IF)
  • 抗原表位

    • 3
    • 2
    • 1
    • 1
    • 1
    • 1
    • 1
    AA 495-663

    原理

    MEGF8 Antibody

    纯化方法

    Protein G purified

    纯度

    >95 %

    免疫原

    Recombinant Human Multiple epidermal growth factor-like domains protein 8 protein (495-663AA)

    亚型

    IgG
  • 应用备注

    Optimal working dilution should be determined by the investigator.

    限制

    仅限研究用
  • 状态

    Liquid

    缓冲液

    Preservative: 0.03 % Proclin 300
    Constituents: 50 % Glycerol, 0.01M PBS, pH 7.4

    储存液

    ProClin

    注意事项

    This product contains ProClin: a POISONOUS AND HAZARDOUS SUBSTANCE which should be handled by trained staff only.

    储存条件

    -20 °C,-80 °C

    储存方法

    Upon receipt, store at -20°C or -80°C. Avoid repeated freeze.
  • 抗原

    MEGF8 (Multiple EGF-Like-Domains 8 (MEGF8))

    别名

    MEGF8

    背景

    Background: extracellular exosome, nucleus, BMP signaling pathway, cell migration involved in gastrulation, craniofacial suture morphogenesis, determination of digestive tract left/right asymmetry, determination of heart left/right asymmetry, embryonic heart tube left/right pattern formation, embryonic heart tube morphogenesis, embryonic limb morphogenesis

    Aliases: MEGF8 antibody, C19orf49 antibody, EGFL4 antibody, KIAA0817 antibody, Multiple epidermal growth factor-like domains protein 8 antibody, Multiple EGF-like domains protein 8 antibody, Epidermal growth factor-like protein 4 antibody, EGF-like protein 4 antibody

    UniProt

    Q7Z7M0
You are here: