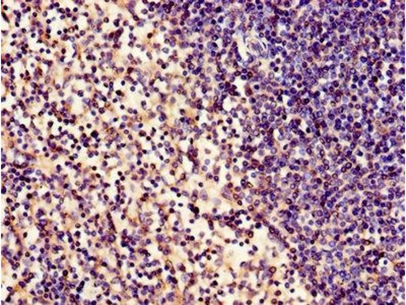
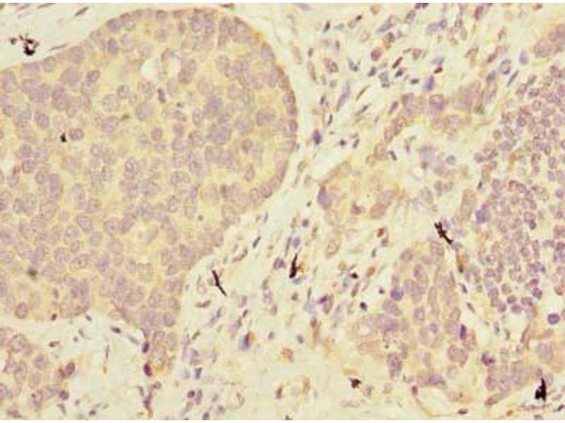
ABHD2 抗体 (AA 31-320)
Our Local Distributor
北京 101111
Quick Overview for ABHD2 抗体 (AA 31-320) (ABIN7160145)
抗原
See all ABHD2 抗体适用
宿主
克隆类型
标记
应用范围
-
-
抗原表位
- AA 31-320
-
原理
- ABHD2 Antibody
-
交叉反应
- 小鼠, 大鼠
-
纯化方法
- Protein G purified
-
纯度
- >95 %
-
免疫原
- Recombinant Human Monoacylglycerol lipase ABHD2 protein (31-320AA)
-
亚型
- IgG
-
-
-
-
应用备注
- Optimal working dilution should be determined by the investigator.
-
限制
- 仅限研究用
-
-
-
状态
- Liquid
-
缓冲液
-
Preservative: 0.03 % Proclin 300
Constituents: 50 % Glycerol, 0.01M PBS, PH 7.4 -
储存液
- ProClin
-
注意事项
- This product contains ProClin: a POISONOUS AND HAZARDOUS SUBSTANCE which should be handled by trained staff only.
-
储存条件
- -20 °C,-80 °C
-
储存方法
- Upon receipt, store at -20°C or -80°C. Avoid repeated freeze.
-
-
- ABHD2 (Abhydrolase Domain Containing 2 (ABHD2))
-
别名
- ABHD2
-
背景
-
Background: May play a role in smooth muscle cells migration.
Aliases: ABHD2 antibody, LABH2Monoacylglycerol lipase ABHD2 antibody, EC 3.1.1.23 antibody, 2-arachidonoylglycerol hydrolase antibody, Abhydrolase domain-containing protein 2 antibody, Acetylesterase antibody, EC 3.1.1.6 antibody, Lung alpha/beta hydrolase 2 antibody, Progesterone-sensitive lipase antibody, EC 3.1.1.79 antibody, Protein PHPS1-2 antibody
-
UniProt
- P08910
抗原
-