电话:
+86 (0512) 65829739
传真:
+86 (010) 6788 5057
电子邮件:
orders@antibodies-online.cn

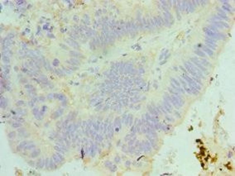
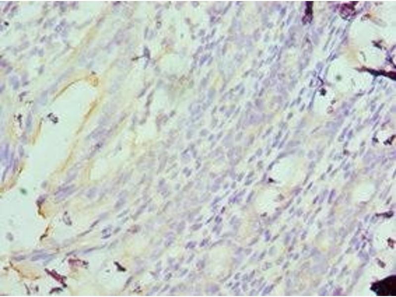
MAD2L1 抗体 (AA 1-205)

The 兔 多克隆 anti-MAD2L1 antibody (ABIN7160089) specifically detects MAD2L1 in WB, ELISA 和 IHC. The antibody is reactive with 人 samples.
产品编号 ABIN7160089
发货至: 中国
Contact our Customer Service for availability and price in your country. Contact Info

Our Local Distributor

中国
北京 101111
No. 88 KeChuang 6th Street
Beijing Economic Technological Development Area
Room 801-803
4A Biotech Co.,Ltd.
Tel +86 (0512) 65829739 传真 +86 (010) 6788 5057

Quick Overview for MAD2L1 抗体 (AA 1-205) (ABIN7160089)

抗原

See all MAD2L1 抗体
MAD2L1 (MAD2 Mitotic Arrest Deficient-Like 1 (Yeast) (MAD2L1))

适用

  • 68
  • 11
  • 9
  • 6
  • 4
  • 3
  • 3
  • 2
  • 2
  • 2
  • 2
  • 1
  • 1

宿主

  • 57
  • 11
  • 1

克隆类型

  • 50
  • 19
多克隆

标记

  • 38
  • 3
  • 3
  • 2
  • 2
  • 2
  • 2
  • 2
  • 2
  • 2
  • 1
  • 1
  • 1
  • 1
  • 1
  • 1
  • 1
  • 1
  • 1
  • 1
  • 1
This MAD2L1 antibody is un-conjugated

应用范围

  • 31
  • 19
  • 14
  • 14
  • 9
  • 9
  • 7
  • 6
  • 4
  • 3
  • 1
  • 1
  • 1
Western Blotting (WB), ELISA, Immunohistochemistry (IHC)
  • 抗原表位

    • 15
    • 6
    • 6
    • 3
    • 2
    • 2
    • 1
    • 1
    • 1
    • 1
    • 1
    • 1
    • 1
    • 1
    • 1
    • 1
    AA 1-205

    原理

    MAD2L1 Antibody

    纯化方法

    Antigen Affinity Purified

    免疫原

    Recombinant Human Mitotic spindle assembly checkpoint protein MAD2A protein (1-205AA)

    亚型

    IgG
  • 应用备注

    Optimal working dilution should be determined by the investigator.

    限制

    仅限研究用
  • 状态

    Liquid

    缓冲液

    PBS with 0.02 % sodium azide, 50 % glycerol, pH 7.3.

    储存液

    Sodium azide

    注意事项

    This product contains Sodium azide: a POISONOUS AND HAZARDOUS SUBSTANCE which should be handled by trained staff only.

    储存条件

    -20 °C,-80 °C

    储存方法

    Upon receipt, store at -20°C or -80°C. Avoid repeated freeze.
  • 抗原

    MAD2L1 (MAD2 Mitotic Arrest Deficient-Like 1 (Yeast) (MAD2L1))

    别名

    MAD2L1

    背景

    Background: Component of the spindle-assembly checkpoint that prevents the onset of anaphase until all chromosomes are properly aligned at the metaphase plate. Required for the execution of the mitotic checkpoint which monitors the process of kinetochore-spindle attachment and inhibits the activity of the anaphase promoting complex by sequestering CDC20 until all chromosomes are aligned at the metaphase plate.

    Aliases: HsMAD2 antibody, MAD 2 antibody, MAD2 like 1 antibody, MAD2 mitotic arrest deficient like 1 antibody, MAD2-like protein 1 antibody, Mad2l1 antibody, MD2L1_HUMAN antibody, Mitotic arrest deficient 2-like protein 1 antibody, Mitotic spindle assembly checkpoint protein MAD2A antibody, REV7 antibody

    UniProt

    Q13257
You are here: