电话:
+86 (0512) 65829739
传真:
+86 (010) 6788 5057
电子邮件:
orders@antibodies-online.cn

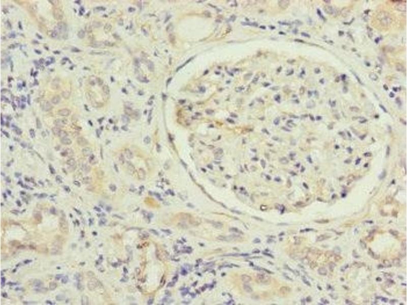
MFN1 抗体 (AA 622-741)

The 兔 多克隆 anti-MFN1 antibody (ABIN7159966) specifically detects MFN1 in WB, IHC 和 ELISA. The antibody is reactive with 人 samples.
产品编号 ABIN7159966
发货至: 中国
Contact our Customer Service for availability and price in your country. Contact Info

Our Local Distributor

中国
北京 101111
No. 88 KeChuang 6th Street
Beijing Economic Technological Development Area
Room 801-803
4A Biotech Co.,Ltd.
Tel +86 (0512) 65829739 传真 +86 (010) 6788 5057

Quick Overview for MFN1 抗体 (AA 622-741) (ABIN7159966)

抗原

See all MFN1 抗体
MFN1 (Mitofusin 1 (MFN1))

适用

  • 63
  • 37
  • 28
  • 21
  • 16
  • 5
  • 4
  • 4
  • 3
  • 2
  • 2
  • 1
  • 1
  • 1

宿主

  • 69
  • 16
  • 3
  • 1

克隆类型

  • 53
  • 36
多克隆

标记

  • 41
  • 4
  • 3
  • 3
  • 3
  • 3
  • 3
  • 3
  • 3
  • 3
  • 2
  • 1
  • 1
  • 1
  • 1
  • 1
  • 1
  • 1
  • 1
  • 1
  • 1
  • 1
  • 1
  • 1
  • 1
  • 1
  • 1
  • 1
  • 1
This MFN1 antibody is un-conjugated

应用范围

  • 66
  • 30
  • 25
  • 14
  • 13
  • 12
  • 6
  • 6
  • 2
  • 1
Western Blotting (WB), Immunohistochemistry (IHC), ELISA
  • 抗原表位

    • 16
    • 6
    • 6
    • 5
    • 4
    • 3
    • 2
    • 2
    • 2
    • 2
    • 2
    • 2
    • 2
    • 1
    • 1
    • 1
    • 1
    • 1
    • 1
    • 1
    • 1
    • 1
    • 1
    AA 622-741

    原理

    MFN1 Antibody

    交叉反应

    小鼠

    纯化方法

    Antigen Affinity Purified

    免疫原

    Recombinant Human Mitofusin-1 protein (622-741AA)

    亚型

    IgG
  • 应用备注

    Optimal working dilution should be determined by the investigator.

    限制

    仅限研究用
  • 状态

    Liquid

    缓冲液

    PBS with 0.02 % sodium azide, 50 % glycerol, pH 7.3.

    储存液

    Sodium azide

    注意事项

    This product contains Sodium azide: a POISONOUS AND HAZARDOUS SUBSTANCE which should be handled by trained staff only.

    储存条件

    -20 °C,-80 °C

    储存方法

    Upon receipt, store at -20°C or -80°C. Avoid repeated freeze.
  • 抗原

    MFN1 (Mitofusin 1 (MFN1))

    别名

    MFN1

    背景

    Background: Essential transmembrane GTPase, which mediates mitochondrial fusion. Fusion of mitochondria occurs in many cell types and constitutes an important step in mitochondria morphology, which is balanced between fusion and fission. MFN1 acts independently of the cytoskeleton. Overexpression induces the formation of mitochondrial networks.

    Aliases: Fzo homolog antibody, Hfzo1 antibody, Hfzo2 antibody, MFN 1 antibody, Mfn1 antibody, MFN1_HUMAN antibody, Mitochondrial transmembrane GTPase Fzo 1 antibody, Mitochondrial transmembrane GTPase FZO 2 antibody, Mitochondrial transmembrane GTPase FZO1B antibody, Mitofusin 1 antibody, Mitofusin-1 antibody, Mitofusin1 antibody, MS996 antibody, Putative transmembrane GTPase antibody, Transmembrane GTPase MFN1 antibody

    UniProt

    Q8IWA4
You are here: