电话:
+86 (0512) 65829739
传真:
+86 (010) 6788 5057
电子邮件:
orders@antibodies-online.cn

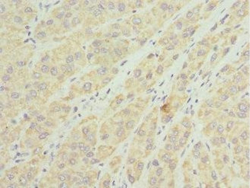
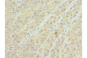
TIMM8A/DDP 抗体 (AA 1-97)

This 兔 多克隆 antibody specifically detects TIMM8A/DDP in ELISA 和 IHC. It exhibits reactivity toward 人.
产品编号 ABIN7159907
发货至: 中国
Contact our Customer Service for availability and price in your country. Contact Info

Our Local Distributor

中国
北京 101111
No. 88 KeChuang 6th Street
Beijing Economic Technological Development Area
Room 801-803
4A Biotech Co.,Ltd.
Tel +86 (0512) 65829739 传真 +86 (010) 6788 5057

Quick Overview for TIMM8A/DDP 抗体 (AA 1-97) (ABIN7159907)

抗原

See all TIMM8A/DDP (TIMM8A) 抗体
TIMM8A/DDP (TIMM8A) (Translocase of Inner Mitochondrial Membrane 8A (TIMM8A))

适用

  • 34
  • 11
  • 10
  • 1
  • 1
  • 1
  • 1

宿主

  • 31
  • 4

克隆类型

  • 33
  • 2
多克隆

标记

  • 14
  • 2
  • 1
  • 1
  • 1
  • 1
  • 1
  • 1
  • 1
  • 1
  • 1
  • 1
  • 1
  • 1
  • 1
  • 1
  • 1
  • 1
  • 1
  • 1
  • 1
This TIMM8A/DDP antibody is un-conjugated

应用范围

  • 13
  • 13
  • 10
  • 9
  • 4
  • 3
  • 3
  • 3
  • 2
  • 2
ELISA, Immunohistochemistry (IHC)
  • 抗原表位

    • 15
    • 2
    • 2
    • 1
    • 1
    • 1
    • 1
    AA 1-97

    原理

    TIMM8A Antibody

    纯化方法

    Antigen Affinity Purified

    免疫原

    Recombinant Human Mitochondrial import inner membrane translocase subunit Tim8 A protein (1-97AA)

    亚型

    IgG
  • 应用备注

    Optimal working dilution should be determined by the investigator.

    限制

    仅限研究用
  • 状态

    Liquid

    缓冲液

    PBS with 0.02 % sodium azide, 50 % glycerol, pH 7.3.

    储存液

    Sodium azide

    注意事项

    This product contains Sodium azide: a POISONOUS AND HAZARDOUS SUBSTANCE which should be handled by trained staff only.

    储存条件

    -20 °C,-80 °C

    储存方法

    Upon receipt, store at -20°C or -80°C. Avoid repeated freeze.
  • 抗原

    TIMM8A/DDP (TIMM8A) (Translocase of Inner Mitochondrial Membrane 8A (TIMM8A))

    别名

    TIMM8A

    背景

    Background: Mitochondrial intermembrane chaperone that participates in the import and insertion of some multi-pass transmembrane proteins into the mitochondrial inner membrane. Also required for the transfer of beta-barrel precursors from the TOM complex to the sorting and assembly machinery (SAM complex) of the outer membrane. Acts as a chaperone-like protein that protects the hydrophobic precursors from aggregation and guide them through the mitochondrial intermembrane space. The TIMM8-TIMM13 complex mediates the import of proteins such as TIMM23, SLC25A12/ARALAR1 and SLC25A13/ARALAR2, while the predominant TIMM9-TIMM10 70 kDa complex mediates the import of much more proteins. Probably necessary for normal neurologic development.

    Aliases: DDP 1 antibody, DDP antibody, DDP1 antibody, Deafness dystonia protein 1 antibody, Deafness/dystonia peptide antibody, DFN 1 antibody, DFN1 antibody, MGC12262 antibody, Mitochondrial import inner membrane translocase subunit Tim8 A antibody, MTS antibody, TIM 8A antibody, TIM8 antibody, TIM8A antibody, TIM8A_HUMAN antibody, TIMM 8A antibody, timm8a antibody, Translocase of inner mitochondrial membrane 8 homolog A antibody, X linked deafness dystonia protein antibody, X-linked deafness dystonia protein antibody

    UniProt

    O60220
You are here: