电话:
+86 (0512) 65829739
传真:
+86 (010) 6788 5057
电子邮件:
orders@antibodies-online.cn

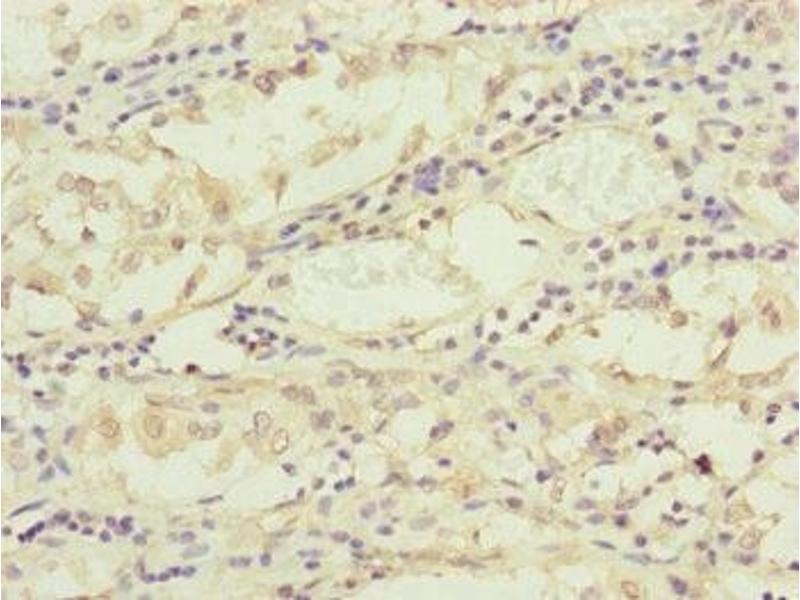
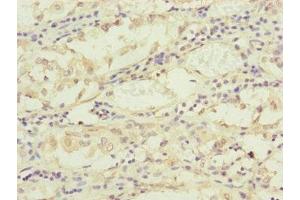
TIMM17B 抗体 (AA 1-172)

The 兔 多克隆 anti-TIMM17B antibody is suitable to detect TIMM17B in samples from 人. It has been validated for IHC 和 ELISA.
产品编号 ABIN7159902
发货至: 中国
Contact our Customer Service for availability and price in your country. Contact Info

Our Local Distributor

中国
北京 101111
No. 88 KeChuang 6th Street
Beijing Economic Technological Development Area
Room 801-803
4A Biotech Co.,Ltd.
Tel +86 (0512) 65829739 传真 +86 (010) 6788 5057

Quick Overview for TIMM17B 抗体 (AA 1-172) (ABIN7159902)

抗原

See all TIMM17B 抗体
TIMM17B (Translocase of Inner Mitochondrial Membrane 17 Homolog B (TIMM17B))

适用

  • 2
  • 2
  • 1

宿主

  • 3

克隆类型

  • 3
多克隆

标记

  • 3
This TIMM17B antibody is un-conjugated

应用范围

  • 3
  • 2
  • 2
  • 1
Immunohistochemistry (IHC), ELISA
  • 抗原表位

    AA 1-172

    原理

    TIMM17B Antibody

    纯化方法

    Antigen Affinity Purified

    免疫原

    Recombinant Human Mitochondrial import inner membrane translocase subunit Tim17-B protein (1-172AA)

    亚型

    IgG
  • 应用备注

    Optimal working dilution should be determined by the investigator.

    限制

    仅限研究用
  • 状态

    Liquid

    缓冲液

    PBS with 0.02 % sodium azide, 50 % glycerol, pH 7.3.

    储存液

    Sodium azide

    注意事项

    This product contains Sodium azide: a POISONOUS AND HAZARDOUS SUBSTANCE which should be handled by trained staff only.

    储存条件

    -20 °C,-80 °C

    储存方法

    Upon receipt, store at -20°C or -80°C. Avoid repeated freeze.
  • 抗原

    TIMM17B (Translocase of Inner Mitochondrial Membrane 17 Homolog B (TIMM17B))

    别名

    TIMM17B

    背景

    Background: Essential component of the TIM23 complex, a complex that mediates the translocation of transit peptide-containing proteins across the mitochondrial inner membrane.

    Aliases: DXS9822 antibody, Inner mitochondrial membrane preprotein translocase antibody, JM3 antibody, Mitochondrial import inner membrane translocase subunit Tim17-B antibody, TI17B_HUMAN antibody, Tim17b antibody, TIMM17B antibody, Translocase of inner mitochondrial membrane 17 homolog B (yeast) antibody

    UniProt

    O60830
You are here: