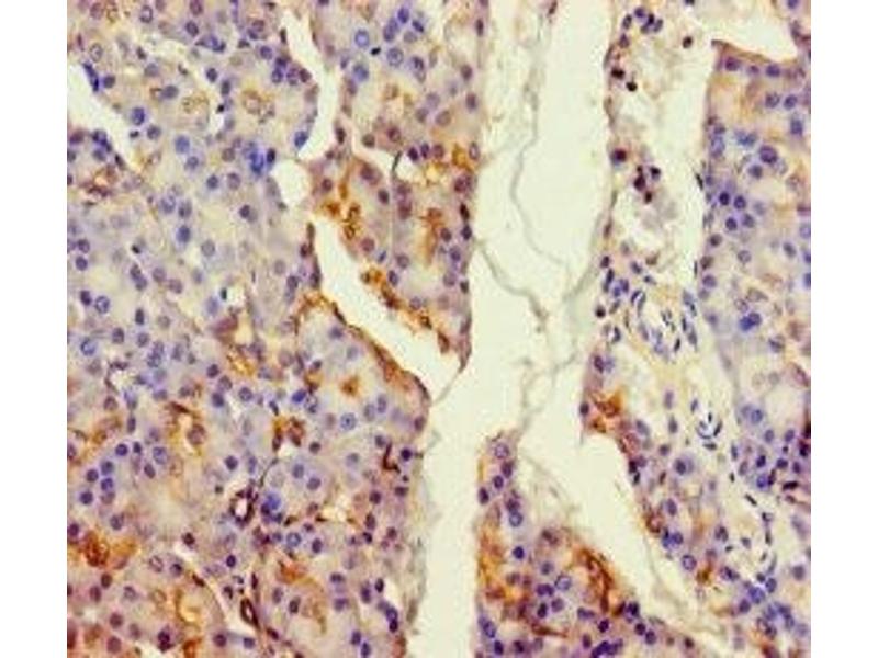
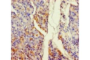
ALDH1L2 抗体 (AA 263-562)
Our Local Distributor
北京 101111
Quick Overview for ALDH1L2 抗体 (AA 263-562) (ABIN7159826)
抗原
See all ALDH1L2 抗体适用
宿主
克隆类型
标记
应用范围
-
-
抗原表位
- AA 263-562
-
原理
- ALDH1L2 Antibody
-
纯化方法
- Protein G purified
-
纯度
- >95 %
-
免疫原
- Recombinant Human Mitochondrial 10-formyltetrahydrofolate dehydrogenase protein (263-562AA)
-
亚型
- IgG
-
-
-
-
应用备注
- Optimal working dilution should be determined by the investigator.
-
限制
- 仅限研究用
-
-
-
状态
- Liquid
-
缓冲液
-
Preservative: 0.03 % Proclin 300
Constituents: 50 % Glycerol, 0.01M PBS, PH 7.4 -
储存液
- ProClin
-
注意事项
- This product contains ProClin: a POISONOUS AND HAZARDOUS SUBSTANCE which should be handled by trained staff only.
-
储存条件
- -20 °C,-80 °C
-
储存方法
- Upon receipt, store at -20°C or -80°C. Avoid repeated freeze.
-
-
- ALDH1L2 (Aldehyde Dehydrogenase 1 Family, Member L2 (ALDH1L2))
-
别名
- ALDH1L2
-
背景
- 10 formyltetrahydrofolate dehydrogenase ALDH1L2 antibody, 10-FORMYLTETRAHYDROFOLATE DEHYDROGENASE, MITOCHONDRIAL antibody, AL1L2_HUMAN antibody, Aldehyde dehydrogenase 1 family, member L2 antibody, Aldehyde dehydrogenase family 1 member L2 antibody, Aldehyde dehydrogenase family 1 member L2, mitochondrial antibody, ALDH1L2 antibody, Mitochondrial 10 formyltetrahydrofolate dehydrogenase antibody, Mitochondrial 10 FTHFDH antibody, mtFDH antibody, Probable 10-formyltetrahydrofolate dehydrogenase ALDH1L2 antibody
-
UniProt
- Q3SY69
抗原
-